Liver abscess after endoscopic sleeve gastroplasty: A case report
- PMID: 37753500
- PMCID: PMC10518679
- DOI: 10.1016/j.radcr.2023.08.113
Liver abscess after endoscopic sleeve gastroplasty: A case report
Abstract
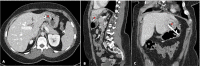
Endoscopic sleeve gastroplasty is a minimally invasive procedure for the treatment of obesity. The procedure is generally safe and well-tolerated, but major adverse events occur in up to 3% of patients. Perigastric abscess is a potential complication caused by postprocedural gastric leak. To the best of our knowledge, no cases of hepatic abscess (HA) following endoscopic sleeve gastroplasty have been reported, while HA is a well-known complication of laparoscopic sleeve gastrectomy. We report the case of a patient who developed a liver abscess 2 weeks after endoscopic sleeve gastroplasty. The patient improved with administration of intravenous antibiotics and endoscopic drainage.
Keywords: Computed tomography; Emergency radiology; Endoscopic sleeve gastrectomy; Liver abscess; Liver imaging.
© 2023 The Authors. Published by Elsevier Inc. on behalf of University of Washington.
Figures
References
Publication types
LinkOut - more resources
Full Text Sources
