Fusariosis in patients with hematological malignancies: Two case reports
- PMID: 37767184
- PMCID: PMC10520354
- DOI: 10.1016/j.mmcr.2023.08.005
Fusariosis in patients with hematological malignancies: Two case reports
Abstract
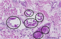
Immunosuppressed patients with hematological malignancies are at risk for invasive fungal infections (IFI), including infections with Fusarium species (spp.), which are increasingly reported. Particularly at risk are patients with acute myeloid leukemia (AML) treated with high-dose cytarabine as remission-induction therapy. Whether cytarabine increases the risk of IFI in comparison to other chemotherapy remains not fully determined. Additionally, no clear correlation between the in vitro established minimal inhibitory concentrations (MICs) of antifungal agents and clinical outcome has been established for fusariosis. To increase awareness and knowledge of invasive fusariosis, we report two cases of Fusarium spp. infections in neutropenic patients following treatment with cytarabine for AML. Despite high MICs for azoles both patients were treated with an azole in combination with liposomal amphotericin B. The combination therapy was successful in one patient, however the other patient did not survive the disseminated Fusarium infection.
Keywords: Combination therapy; Cytarabine; Fusariosis; Fusarium species; Hematological malignancies.
© 2023 The Authors.
Conflict of interest statement
All authors declare no conflict of interest.
Figures





References
-
- Hoenigl M., Salmanton-García J., Walsh T.J., Nucci M., Neoh C.F., Jenks J.D., et al. Global guideline for the diagnosis and management of rare mould infections: an initiative of the European confederation of medical mycology in cooperation with the international society for human and animal mycology and the American society for microbiology. Lancet Infect. Dis. 2021;21(8):e246–e257. - PubMed
-
- Ramos J.F. In: Rezaei N., editor. ume 2. Elsevier; 2022. M nucci, Fusarium and fusariosis; pp. 363–375. (Encyclopedia of Infection and Immunity).
LinkOut - more resources
Full Text Sources
Miscellaneous