Bilateral Kohler's Disease: A Case Report
- PMID: 37818500
- PMCID: PMC10560746
- DOI: 10.7759/cureus.44929
Bilateral Kohler's Disease: A Case Report
Abstract
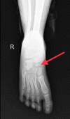
Kohler's disease is characterized by osteochondritis of the navicular bone due to various factors like the lack of blood supply and late ossification of the bone. In particular, it is a disease of the pediatric age group, which has male preponderance. It may present with bony pain unilaterally or, at times, be asymptomatic and diagnosed accidentally. Clinical presentation and radiological investigations are the mainstay of diagnosis. This self-limiting condition requires only symptomatic conservative management. A surgical approach is not yet indicated. One such case of bilateral Kohler's disease is presented in this report. Here, we discuss the disease's presentation, examination, treatment, and prognosis.
Keywords: avascular necrosis; kohler's disease; navicular; pain; pediatric population.
Copyright © 2023, Deshpande et al.
Conflict of interest statement
The authors have declared that no competing interests exist.
Figures





References
-
- Trammell AP, Davis DD, Scott AT. StatPearls [Internet] Treasure Island (FL): StatPearls Publishing; [ Aug; 2023 ]. 2023. Kohler disease. - PubMed
-
- Köhler disease: avascular necrosis in the child. Chan JY, Young JL. Foot Ankle Clin. 2019;24:83–88. - PubMed
-
- Kohler Disease. [ Aug; 2023 ];Maral K, Bernardo V. https://rarediseases.org/rare-diseases/kohler-disease/ 2018 Treatment |:2023–2017.
-
- Osteochondritis of the navicular: a case report. Sharp RJ, Calder JD, Saxby TS. Foot Ankle Int. 2003;24:509–513. - PubMed
-
- Köhler's bone disease of the tarsal navicular. Borges JL, Guille JT, Bowen JR. J Pediatr Orthop. 1995;15:596–598. - PubMed
Publication types
LinkOut - more resources
Full Text Sources