Right coronary artery kinking after tricuspid valve annuloplasty: a case report
- PMID: 37854102
- PMCID: PMC10580373
- DOI: 10.1093/ehjcr/ytad483
Right coronary artery kinking after tricuspid valve annuloplasty: a case report
Abstract
Background: Right coronary artery (RCA) injury is a rare complication of valvular surgery. However, complications should be considered, due to the significant clinical consequences. Identifying the coronary injury type and understanding the underlying pathophysiological mechanisms is essential to managing these complications.
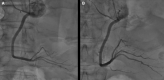
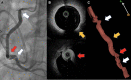
Case summary: The case of a 59-year-old man who underwent conservative mitral valve surgery with tricuspid valve annuloplasty is presented. The early post-operative period was complicated by acute coronary syndrome with inferior persistent ST-segment elevation. A coronary angiogram confirmed critical RCA hazy lesions, raising the suspicion of coronary kinking. To confirm the underlying mechanism for these lesions and determine the best treatment strategy, endocoronary imaging was performed, revealing coronary kinking of the RCA. Based on the persistent acute ischaemia, a long-lasting drug-eluting stent (DES) was implanted in the lower and upper knees of the RCA. After angioplasty, electrocardiography showed regression of the ST-segment elevation. Ten days later, coronary angiography and optical coherence tomography showed good results. The patient recovered from his myocardial infarction.
Discussion: Only a few reports describe the use of endocoronary imaging for diagnosing coronary artery injury after tricuspid annuloplasty. The variety of lesion types that could underlie a single post-operative myocardial infarction makes endocoronary imaging a relevant technique to guide management strategy and optimize DES implantation.
Keywords: Cardiac surgery; Case report; Coronary angiography; Coronary kinking; Myocardial infarction; Optical coherence tomography; Tricuspid annuloplasty.
© The Author(s) 2023. Published by Oxford University Press on behalf of the European Society of Cardiology.
Conflict of interest statement
Conflict of interest: None declared.
Figures





References
-
- Rivera R, Duran E, Ajuria M. Carpentier’s flexible ring versus De Vega’s annuloplasty. A prospective randomized study. J Thorac Cardiovasc Surg 1985;89:196–203. - PubMed
-
- Chikwe J, Itagaki S, Anyanwu A, Adams DH. Impact of concomitant tricuspid annuloplasty on tricuspid regurgitation, right ventricular function, and pulmonary artery hypertension after repair of mitral valve prolapse. J Am Coll Cardiol 2015;65:1931–1938. - PubMed
-
- Díez-Villanueva P, Gutiérrez-Ibañes E, Cuerpo-Caballero GP, Sanz-Ruiz R, Abeytua M, Soriano J, et al. . Direct injury to right coronary artery in patients undergoing tricuspid annuloplasty. Ann Thorac Surg 2014;97:1300–1305. - PubMed
Publication types
LinkOut - more resources
Full Text Sources