A rare intrahepatic splenosis mimicking hepatocellular carcinoma: A case report
- PMID: 37854327
- PMCID: PMC10580247
- DOI: 10.3892/mco.2023.2687
A rare intrahepatic splenosis mimicking hepatocellular carcinoma: A case report
Abstract
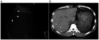
Intrahepatic splenosis (IHS) is a rare disease that is considered to result from heterotopic autotransplantation or implantation of splenic tissue after splenic trauma or surgery. A 46-year-old man with a treatment history of a left lateral liver segmentectomy and splenectomy for a road traffic injury 30 years earlier presented to Sakai City Medical Center (Sakai, Japan) with acute abdominal pain in November 2019. Physical examination showed no significant signs, and serum data were normal. Computed tomography revealed a hypodense mass measuring 2.5x1.7 cm in segment 7 of the liver. Gadoxetic acid-enhanced magnetic resonance imaging showed early enhancement in the arterial phase and washout in the delayed phase. Therefore, laparoscopic surgery was performed with a preoperative diagnosis of hepatocellular carcinoma. Pathological examination of the tumor showed IHS. The postoperative course was uneventful, and the patient developed no new abnormal region in the liver during 2 years of follow-up. The present study presented a case of IHS assumed to be hepatocellular carcinoma. IHS should be considered as a differential diagnosis of a liver mass detected years after splenic trauma or surgery, even in cases with imaging patterns suggesting malignancy.
Keywords: intrahepatic splenosis; liver tumor; splenectomy; trauma.
Copyright © 2023, Spandidos Publications.
Conflict of interest statement
The authors declare that they have no competing interests.
Figures




References
Publication types
LinkOut - more resources
Full Text Sources