Pasteurella sp. associated with fatal septicaemia in six African elephants
- PMID: 37880229
- PMCID: PMC10600241
- DOI: 10.1038/s41467-023-41987-z
Pasteurella sp. associated with fatal septicaemia in six African elephants
Abstract
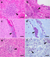
The sudden mortality of African elephants (Loxodonta africana) in Botswana and Zimbabwe in 2020 provoked considerable public interest and speculation. Poaching and malicious poisoning were excluded early on in the investigation. Other potential causes included environmental intoxication, infectious diseases, and increased habitat stress due to ongoing drought. Here we show evidence of the mortalities in Zimbabwe as fatal septicaemia associated with Bisgaard taxon 45, an unnamed close relative of Pasteurella multocida. We analyse elephant carcasses and environmental samples, and fail to find evidence of cyanobacterial or other intoxication. Post-mortem and histological findings suggest a bacterial septicaemia similar to haemorrhagic septicaemia caused by P. multocida. Biochemical tests and 16S rDNA analysis of six samples and genomic analysis of one sample confirm the presence of Bisgaard taxon 45. The genome sequence contains many of the canonical P. multocida virulence factors associated with a range of human and animal diseases, including the pmHAS gene for hyaluronidase associated with bovine haemorrhagic septicaemia. Our results demonstrate that Bisgaard taxon 45 is associated with a generalised, lethal infection and that African elephants are susceptible to opportunistically pathogenic Pasteurella species. This represents an important conservation concern for elephants in the largest remaining metapopulation of this endangered species.
© 2023. Springer Nature Limited.
Conflict of interest statement
Design Biologix has funded the molecular research done on the organism. Dr Angela Buys is employed by Design Biologix (full-time) and acted in her capacity as researcher. M.M.H. is an employee of Vetdiagnostix, a commercial veterinary diagnostic laboratory, which funded sample cultures and permit acquisition. The other authors declare no competing interests.
Figures




References
-
- Gobush, K. S. et al. Loxodonta africana. The IUCN Red List of Threatened Species. 10.2305/IUCN.UK.2021-1.RLTS.T181008073A181022663.en (2021).
-
- Van Aarde, R. J., Jackson, T. P. & Ferreira, S. M. Conservation science and elephant management in southern Africa: elephant conservation. S Afr. J. Sci.102, 385–388 (2006).
-
- Hanks, J. & Myburgh, W. The evolution and progression of transfrontier conservation areas in the Southern African Development Community. in Institutional Arrangements for Conservation, Development and Tourism in Eastern and Southern Africa (eds. van der Duim, R., Lamers, M. & van Wijk, J.) 157–179, 1st edn (Springer Netherlands, 2015).
-
- Bussière, E. M. S. & Potgieter, D. KAZA Elephant Survey 2022, Volume I: Results and Technical Report. https://www.wwf.de/fileadmin/fm-wwf/Publikationen-PDF/Afrika/KAZA-Elepha... (2023).
Publication types
MeSH terms
LinkOut - more resources
Full Text Sources