Gastritis Cystica Profunda: A Rare Disease, a Challenging Diagnosis, and an Uncertain Malignant Potential: A Case Report and Review of the Literature
- PMID: 37893488
- PMCID: PMC10608487
- DOI: 10.3390/medicina59101770
Gastritis Cystica Profunda: A Rare Disease, a Challenging Diagnosis, and an Uncertain Malignant Potential: A Case Report and Review of the Literature
Abstract
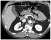
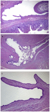
Gastritis cystica profunda (GCP) has been defined as a rare submucosal benign gastric lesion with cystic gland growth. Due to its unclear etiopathogenesis, this lesion is often misdiagnosed and mistaken for other gastric masses. Currently, a standardized treatment for GCP lesions is still missing. Here, we illustrate a case of a patient admitted to our general surgery department for melena and general discomfort. No history of peptic ulcer or gastric surgery was present. Upper GI endoscopy was performed, showing a distal gastric lesion with a small ulceration on the top. CT-scan and endoscopic ultrasound confirmed the presence of the lesion, compatible with a gastric stromal tumor, without showing any eventual metastasis. Surgical gastric resection was performed. Histological findings were diagnostic for GCP, with cistically ectasic submucosal glands, chronic inflammation, eosinophilic infiltration and foveal hyperplasia. GCP is a very exceptional cause of upper-GI bleeding with specific histological features. Its diagnosis as well as its therapy are challenging, resulting in several pitfalls. Even though it is a rare entity, GCP should always be considered in the differential diagnosis of gastric submucosal lesions.
Keywords: ectopic gastric glands; endoscopic ultrasound; gastric submucosal lesion; gastric surgery; gastritis cystica profunda.
Conflict of interest statement
The authors declare no conflict of interest.
Figures







References
-
- Scott H.W., Payne T.P.B. Diffuse congenital cystic hyperplasia of stomach clinically simulating carcinoma; report of a case. Bull. Johns Hopkins Hosp. 1947;81:448–455. - PubMed
Publication types
MeSH terms
LinkOut - more resources
Full Text Sources
Medical