Cutaneous Acral Metastasis from Renal Cell Carcinoma-a Case Report
- PMID: 37900660
- PMCID: PMC10611658
- DOI: 10.1007/s13193-019-00961-2
Cutaneous Acral Metastasis from Renal Cell Carcinoma-a Case Report
Abstract
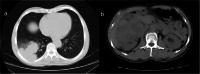
Renal cell carcinomas are known to produce widespread and unpredictable metastasis due to their angioinvasive property. Cutaneous metastases from renal cell carcinomas are very rare, with a reported incidence of 1.3-3%. The sites of cutaneous metastasis from renal cell carcinomas, as per the available case reports, to the best of our knowledge, are shoulder, arm, nape of the neck, chest, face and scalp. We report a case of 63-year-old male, with renal clear cell carcinoma with lung metastasis who had cutaneous metastasis to the fingertip which was confirmed by histopathological examination. Apart from its rarity, this clinical case adds another site of renal cell carcinoma metastasis to the present literature. The skin metastasis represents a widely disseminated state of the disease with a very guarded prognosis and limited life span after its diagnosis.
Keywords: Acral metastasis; Cutaneous metastasis; Disarticulation; Renal cell carcinomas.
© Indian Association of Surgical Oncology 2019.
Conflict of interest statement
All authors have verified that have read and approved the manuscript and there is no conflict of interest or any financial disclosures. They also agree that the manuscript work is original, not plagiarized; they have not submitted the manuscript under review for publication elsewhere; and they will not submit the manuscript under review to another publication during the review period.
Figures


References
-
- Urakci Z, Kaplan MA, Küçüköner M, et al. Renal cell carcinoma presenting with cutaneous metastasis: case report. Türk Onkoloji Dergisi. 2013;28(4):163–166. doi: 10.5505/tjoncol.2013.886. - DOI
-
- Amaadour L, Atreche L, Azegrar M, et al. Cutaneous metastasis of renal cell carcinoma: acase report. J Cancer Ther. 2017;8:603–607. doi: 10.4236/jct.2017.86051. - DOI
-
- Ahmad S, Akhtar K, Siddiqui FA, et al. Cutaneous metastasis in renal cell carcinoma. J Cytol. 2008;25(4):157–158. doi: 10.4103/0970-9371.50804. - DOI
Publication types
LinkOut - more resources
Full Text Sources