Disseminated disease caused by Mycobacterium marseillense: A case report and literature review
- PMID: 37904420
- PMCID: PMC10615457
- DOI: 10.1097/MD.0000000000035781
Disseminated disease caused by Mycobacterium marseillense: A case report and literature review
Abstract
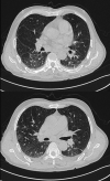
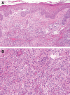
Rationale: Among numerous types of nontuberculous mycobacterial infections, Mycobacterium avium complex is a related group of species, which can cause various diseases in humans. Mycobacterium marseillense is a member of the Mycobacterium avium complex, which accounts for only a small proportion of species, but causes rare diseases affecting the lungs, lymph nodes, skin, and tendon sheath. So far, very few cases have been reported.
Patient concerns: A 76-year-old male of peculiar skin infection. Metagenomic Next Generation Sequencing and bacterial culture of skin secretions revealed M marseillense. To the best of our knowledge, we report the first patient diagnosed with disseminated M marseillense infection. Here, we identified only 8 other reports of patients with M marseillense infection.
Diagnoses: Disseminated M marseillense infection.
Interventions: The patient was treated with clarithromycin, rifampicin, moxifloxacin, and ethambutol.
Outcomes: The skin lesions of the patient showed significant improvement, and his pruritus and limb pain were notably reduced after 7 months of follow-up.
Lessons: Metagenomic Next Generation Sequencing may be a useful tool to diagnose M marseillense infection, but the results should be confirmed by culture and mycobacterial identification.
Copyright © 2023 the Author(s). Published by Wolters Kluwer Health, Inc.
Conflict of interest statement
The authors have no conflicts of interest to disclose.
Figures




References
-
- Griffith DE, Aksamit T, Brown-Elliott BA, et al. An official ATS/IDSA statement: diagnosis, treatment, and prevention of nontuberculous mycobacterial diseases. Am J Respir Crit Care Med. 2007;175:367–416. - PubMed
-
- Behr MA, Falkinham JO, 3rd. Molecular epidemiology of nontuberculous mycobacteria. Future Microbiol. 2009;4:1009–20. - PubMed
-
- Kim SY, Yoo H, Jeong BH, et al. First case of nontuberculous mycobacterial lung disease caused by Mycobacterium marseillense in a patient with systemic lupus erythematosus. Diagn Microbiol Infect Dis. 2014;79:355–7. - PubMed
Publication types
MeSH terms
Substances
Supplementary concepts
LinkOut - more resources
Full Text Sources
Medical