Skip to main page content
U.S. flag

An official website of the United States government

Dot gov

The .gov means it’s official.
Federal government websites often end in .gov or .mil. Before sharing sensitive information, make sure you’re on a federal government site.

Https

The site is secure.
The https:// ensures that you are connecting to the official website and that any information you provide is encrypted and transmitted securely.

Access keys NCBI Homepage MyNCBI Homepage Main Content Main Navigation
Case Reports
. 2023 Sep 29;15(9):e46193.
doi: 10.7759/cureus.46193. eCollection 2023 Sep.

A Case Report of Chilaiditi's Syndrome With Sigmoid Volvulus

Affiliations
Case Reports

A Case Report of Chilaiditi's Syndrome With Sigmoid Volvulus

Abdul Wahab et al. Cureus. .

Abstract

Chilaiditi's syndrome is the hepatodiaphragmatic interposition of the colon. It can be caused by any pathology of intestinal, hepatic, and diaphragmatic factors. Any anatomic variations or functional abnormalities can increase the development of Chilaiditi's syndrome. It is usually asymptomatic and is found indecently in radiological studies. It is treated conservatively as long as any complications do not arise. This case of Chilaiditi's syndrome was associated with sigmoid volvulus and multiple tubercles on its surface. A 35-year-old male patient presented to the outpatient department (OPD) with complaints of weight loss, bilateral flank pain, abdominal distention, decreased appetite, vomiting, and diarrhea. CT scan showed a grossly distended loop of the colon with sigmoid volvulus and Chilaiditi's sign. A laparotomy was done, sigmoid volvulus was relieved, a biopsy of tubercles was taken for histopathology, and a colostomy was done. The biopsy result showed abdominal tuberculosis. The colostomy was later reversed. Chilaiditi's syndrome is usually treated surgically because it is associated with other complications in the gastrointestinal tract. Previous studies showed the management of cases by colonic resection with primary anastomosis; however, there was one case that reported mortality due to an anastomosis leak. In this article, we present a case of Chilaiditi's syndrome associated with sigmoid volvulus and abdominal tuberculosis as seen on biopsy, which was managed surgically by colostomy followed by colostomy reversal on follow-up.

Keywords: abdominal tuberculosis; chilaiditi’s syndrome; colostomy; colostomy reveral; sigmoid volvulus.

PubMed Disclaimer

Conflict of interest statement

The authors have declared that no competing interests exist.

Figures

Figure 1
Figure 1. X-ray scan showing a grossly distended loop of the colon with sigmoid volvulus with air under the right side of the diaphragm
Figure 2
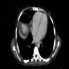
Figure 2. CT scan showing the dilated sigmoid with twisting of the mesentery and gross ascites
Figure 3
Figure 3. CT scan showing the interposition of the colon between the liver and diaphragm

References

    1. Chilaiditi syndrome complicated by a closed-loop small bowel obstruction. Mateo de Acosta Andino DA, Aberle CM, Ragauskaite L, Khair G, Streicher A, Bartholomew J, Kacey D. https://www.ncbi.nlm.nih.gov/pmc/articles/PMC3380265/ Gastroenterol Hepatol (N Y) 2012;8:274–276. - PMC - PubMed
    1. Transverse colon volvulus and associated Chilaiditi's syndrome: case report and literature review. Plorde JJ, Raker EJ. https://pubmed.ncbi.nlm.nih.gov/8946999/ Am J Gastroenterol. 1996;91:2613–2616. - PubMed
    1. Chilaiditi syndrome: a rare entity with important differential diagnoses. Moaven O, Hodin RA. https://www.ncbi.nlm.nih.gov/pmc/articles/PMC3380266/ Gastroenterol Hepatol (N Y) 2012;8:276–278. - PMC - PubMed
    1. Chilaiditi’s syndrome. 2013. https://rarediseases.org/rare-diseases/chilaiditis-syndrome/ https://rarediseases.org/rare-diseases/chilaiditis-syndrome/
    1. Image of the month. Chilaiditi sign or syndrome. Alva S, Shetty-Alva N, Longo WE. Arch Surg. 2008;143:93–94. - PubMed

Publication types

LinkOut - more resources