IL-6 induces periostin production in human ACL remnants: a possible mechanism causing post-traumatic osteoarthritis
- PMID: 37919719
- PMCID: PMC10621128
- DOI: 10.1186/s13018-023-04308-0
IL-6 induces periostin production in human ACL remnants: a possible mechanism causing post-traumatic osteoarthritis
Abstract
Objective: Perostin (POSTN) and IL-6 consistently elevated after ACL injury, and ACL has been proposed as the major source of POSTN. However, there is a lack of evidence whether IL-6 induces ACL remnants to produce POSTN. This study aimed to investigate the effect of IL-6 on POSTN production in ACL fibroblasts, which may help us understand more about the mechanism of PTOA after ACL injury and ACL reconstruction.
Methods: ACL remnants were harvested from 27 patients undergoing ACL reconstruction. Quantitative real-time polymerase chain reaction (PCR) was performed to examine the POSTN gene expression of ACL fibroblasts after treatment of different concentrations of IL-6. The POSTN protein production of ACL fibroblasts was determined using western blot analysis. The blockers of possible signaling pathways, including PI3K/Akt, Ras/MAPK, and JAK/STAT pathways, were added to test whether the effect of IL-6 on ACL fibroblast could be attenuated. ACL fibroblast and chondrocyte co-culture was carried out to determine the influence of ACL and IL-6 on chondrocytes.
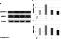
Results: Quantitative real-time PCR showed that IL-6 time-dependently and dose-dependently increased POSTN gene expression of ACL fibroblast. Western blot analysis also revealed that IL-6 dose-dependently induced POSTN protein production. Regarding the chronicity of ACL injury, the POSTN protein production was comparable between ACL remnants which were derived within 3 months of injury and at least 6 months after injury. PI3K/Akt blockers could attenuate the effect of IL-6 on ACL remnants, whereas Ras/MAPK and JAK/STAT did not decrease POSTN production. The coexistence of ACL and IL-6 induced more MMP-13 and ADAMTS-4 by chondrocytes.
Conclusions: IL-6 induced ACL remnants to produce POSTN. This effect could be attenuated by the PI3K/Akt blocker. Coexistence of IL-6 and ACL remnants may accelerate post-traumatic arthritis.
Keywords: ACL; IL-6; Osteoarthritis; Periostin; Reconstruction.
© 2023. The Author(s).
Conflict of interest statement
The authors declare that they have no competing interests.
Figures











References
-
- Smith TO, Postle K, Penny F, McNamara I, Mann CJ. Is reconstruction the best management strategy for anterior cruciate ligament rupture? A systematic review and meta-analysis comparing anterior cruciate ligament reconstruction versus non-operative treatment. Knee. 2014;21(2):462–470. doi: 10.1016/j.knee.2013.10.009. - DOI - PubMed
MeSH terms
Substances
LinkOut - more resources
Full Text Sources
Medical
Miscellaneous