Skip to main page content
U.S. flag

An official website of the United States government

Dot gov

The .gov means it’s official.
Federal government websites often end in .gov or .mil. Before sharing sensitive information, make sure you’re on a federal government site.

Https

The site is secure.
The https:// ensures that you are connecting to the official website and that any information you provide is encrypted and transmitted securely.

Access keys NCBI Homepage MyNCBI Homepage Main Content Main Navigation
. 2023 Oct 6;3(6):56.
doi: 10.3892/mi.2023.116. eCollection 2023 Nov-Dec.

Castleman disease: Experience from a single institution

Affiliations

Castleman disease: Experience from a single institution

Sherry S Abraham et al. Med Int (Lond). .

Abstract

Castleman disease (CD) describes a group of rare heterogeneous lymphoproliferative disorders characterized by enlarged hyperplastic lymph nodes. It is classified into unicentric CD (UCD) and multicentric CD (MCD). The present retrospective study examined the data of 11 patients with CD diagnosed and treated at a tertiary cancer center from 2017 to 2022. The median age of the study group was 41 years (range, 24 to 68 years). There were 8 males and 3 females. In total, 7 patients were diagnosed with UCD and 4 patients with MCD. The hyaline-vascular variant was the most common histology in both UCD and MCD. Among the 7 patients with UCD, 5 patients underwent excision, 1 patient underwent debulking followed by radiotherapy and 1 patient received single agent rituximab. Of the patients with UCD, 6 had a complete response (CR) and 1 patient had a partial response (PR). All 4 patients with MCD received systemic treatment, which included single agent rituximab (2 patients), rituximab, cyclophosphamide, doxorubicin, vincristine and prednisolone (RCHOP) (1 patient) and CHOP (1 patient). Among the patients with MCD, 1 patient attained a CR, 2 patients had a PR and 1 patient succumbed. The 3-year survival rate for the study population was 91%. In summary, CD is a rare disease occurring in immunodeficient patients. UCD is more common and is associated with better outcomes. Surgery is the mainstay of management in UCD whereas MCD requires combination chemotherapy.

Keywords: Castleman disease; human immunodeficiency virus-negative; multicentric; unicentric.

PubMed Disclaimer

Conflict of interest statement

The authors declare that they have no competing interests.

Figures

Figure 1
Figure 1
(A) CECT illustrating a mesenteric mass (patient no 4) (arrow). (B) CECT illustrating a posterior mediastinal mass (patient no 6) (arrow).
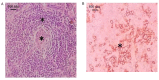
Figure 2
Figure 2
(A) Hyaline-vascular type: Lymphoid follicles can be observed with germinal centers, penetrated by sclerotic blood vessels (lollipop lesions) (indicated by asterisks) and broad mantle zones with concentric rings of small lymphocytes (onion skin pattern) (indicated by asterisks) (hematoxylin and eosin staining; magnification, x400). (B) Mixed type: Interfollicular area is shown with clusters of plasma cells highlighted by CD138 (indicated by asterisks) (hematoxylin and eosin staining; magnification, x400).

References

    1. Jiang JP, Shen XF, Du JF, Guan WX. A retrospective study of 34 patients with unicentric and multicentric Castleman's disease: Experience from a single institution. Oncol Lett. 2018;15:2407–2412. doi: 10.3892/ol.2017.7625. - DOI - PMC - PubMed
    1. Casper C. The aetiology and management of Castleman disease at 50 years: Translating pathophysiology to patient care. Br J Haematol. 2005;129:3–17. doi: 10.1111/j.1365-2141.2004.05311.x. - DOI - PubMed
    1. Krause JR, Robinson SD, Vance EA. Multicentric Castleman's disease and HIV. Proc Bayl Univ Med Cent. 2014;27:28–30. doi: 10.1080/08998280.2014.11929044. - DOI - PMC - PubMed
    1. Suda T, Katano H, Delsol G, Kakiuchi C, Nakamura T, Shiota M, Sata T, Higashihara M, Mori S. HHV-8 infection status of AIDS-unrelated and AIDS-associated multicentric Castleman's disease. Pathol Int. 2001;51:671–679. doi: 10.1046/j.1440-1827.2001.01266.x. - DOI - PubMed
    1. Fajgenbaum DC, van Rhee F, Nabel CS. HHV-8-negative, idiopathic multicentric Castleman disease: Novel insights into biology, pathogenesis, and therapy. Blood. 2014;123:2924–2933. doi: 10.1182/blood-2013-12-545087. - DOI - PubMed

LinkOut - more resources