Skip to main page content
U.S. flag

An official website of the United States government

Dot gov

The .gov means it’s official.
Federal government websites often end in .gov or .mil. Before sharing sensitive information, make sure you’re on a federal government site.

Https

The site is secure.
The https:// ensures that you are connecting to the official website and that any information you provide is encrypted and transmitted securely.

Access keys NCBI Homepage MyNCBI Homepage Main Content Main Navigation
Case Reports
. 2023 Oct 2;15(10):e46377.
doi: 10.7759/cureus.46377. eCollection 2023 Oct.

Congenital Hepatic Cyst in Patients With Patau Syndrome: A Rare Clinical Finding

Affiliations
Case Reports

Congenital Hepatic Cyst in Patients With Patau Syndrome: A Rare Clinical Finding

Andrew C Rennick et al. Cureus. .

Abstract

Trisomy 13 (T13), frequently referred to as Patau syndrome, is a rare autosomal aneuploidy most commonly due to nondisjunction in meiosis. Frequently seen characteristics include cleft lip, cleft palate, cerebral defects, anophthalmia, and polydactyly among many more. We report a rare case of a newborn female with T13, demonstrating several known anomalies associated with the syndrome and an associated large congenital hepatic cyst, exhibiting a significant mass effect on vital organs. Based on a literature review conducted in August 2023, we found no previous documentation of a congenital hepatic cyst reported with T13.

Keywords: abdominal cyst; abdominal ultrasound; congenital hepatic cyst; magnetic resonance imaging; patau syndrome; trisomy 13.

PubMed Disclaimer

Conflict of interest statement

The authors have declared that no competing interests exist.

Figures

Figure 1
Figure 1. Anteroposterior (A) and left lateral decubitus (B) radiographic views of the abdomen.
The images demonstrate absence of gas in the right hemiabdomen and a few small coarse calcifications predominantly in the upper abdomen (yellow arrows; A). There is a mass effect causing deviation of the UVC catheter to the left as well as displacement of the bowel loops to the left. AP-LLD: anteroposterior left lateral decubitus
Figure 2
Figure 2. Grayscale sonographic evaluation of the abdomen.
The images show multiple hyperechoic foci in the liver (arrows), suggestive of parenchymal calcifications that correspond to those seen on the abdominal x-ray (A). A large anechoic cyst occupying nearly the entire hemiabdomen was also noted (B). RUQ SAG: right upper quadrant sagittal; ML SAG: midline sagittal
Figure 3
Figure 3. Axial and coronal T1-weighted (A and C) and T2-weighted (B and D) magnetic resonance images of the abdomen.
The images demonstrate a large right hemiabdomen hypointense T1/hyperintense T2 mass, compatible with a simple cyst. At the inferior margin of the cyst, the mass was seen to be connected with another cyst, which was felt to be possibly due to an ovarian origin (arrow; D). Significant mass effect on the inferior liver as well as displacement of the bowel loops to the left is noted.
Figure 4
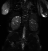
Figure 4. Coronal T2-weighted image of the abdomen.
The image demonstrates heterogeneous, dysplastic-appearing kidneys bilaterally with numerous scattered cysts in the renal parenchyma.
Figure 5
Figure 5. Laparoscopic images acquired during surgical resection.
The images demonstrate a large cystic mass originating from the right lobe, centered above the gallbladder. There was no communication between adjacent ovarian cysts or other organs.

References

    1. Trisomies. Levy PA, Marion R. Pediatr Rev. 2018;39:104–106. - PubMed
    1. Sonographic detection of trisomy 13 in the first and second trimesters of pregnancy. Watson WJ, Miller RC, Wax JR, Hansen WF, Yamamura Y, Polzin WJ. J Ultrasound Med. 2007;26:1209–1214. - PubMed
    1. Clinical relevance of cytogenetics to pediatric practice. Postnatal findings of Patau syndrome - review of 5 cases. Plaiasu V, Ochiana D, Motei G, Anca I, Georgescu A. https://www.ncbi.nlm.nih.gov/pmc/articles/PMC3177545/ Maedica (Bucur) 2010;5:178–185. - PMC - PubMed
    1. Clinical features and prognosis of a sample of patients with trisomy 13 (Patau syndrome) from Brazil. Petry P, Polli JB, Mattos VF, et al. Am J Med Genet A. 2013;161A:1278–1283. - PubMed
    1. An infant with Patau syndrome associated with congenital heart defects. Khan U, Hussain A, Usman M, Abiddin ZU. Ann Med Surg (Lond) 2022;80 - PMC - PubMed

Publication types

LinkOut - more resources