Skip to main page content
U.S. flag

An official website of the United States government

Dot gov

The .gov means it’s official.
Federal government websites often end in .gov or .mil. Before sharing sensitive information, make sure you’re on a federal government site.

Https

The site is secure.
The https:// ensures that you are connecting to the official website and that any information you provide is encrypted and transmitted securely.

Access keys NCBI Homepage MyNCBI Homepage Main Content Main Navigation
Case Reports
. 2023 Oct 16;6(4):543-545.
doi: 10.31662/jmaj.2023-0063. Epub 2023 Sep 13.

Wandering Pneumonia

Affiliations
Case Reports

Wandering Pneumonia

Naoya Fujita et al. JMA J. .
No abstract available

Keywords: IgG4-related disease; IgG4-related lung disease; Wandering pneumonia.

PubMed Disclaimer

Conflict of interest statement

None

Figures

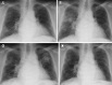
Figure 1.
Figure 1.
Abnormal shadow in the right lower lung field was observed in the first chest X-ray (1a). The shadow had migrated to the right upper lung on Day 868 (1b). The shadow had migrated in the left upper lung on Day 986 (1c). The shadow had almost disappeared on Day 1,048 (1d).
Figure 2.
Figure 2.
Clinical course of the patient. The patient had been treated with hydrocortisone and dexamethasone for hypopituitarism. Dexamethasone replacement was tapered and discontinued because of the exacerbation of diabetes mellitus, whereas the lung lesions progressed and the serum IgG4 levels increased up to the maximum of 1,200 mg/dL. He had been completely asymptomatic during this course. Day 0 is the day when chest X-ray abnormalities were recognized for the first time. DEX: dexamethasone, HbA1c: hemoglobin A1c, HC: hydrocortisone.

References

    1. Wallace ZS, Naden RP, Chari S, et al. The 2019 American College of Rheumatology/European League against rheumatism classification criteria for IgG4-related disease. Arthritis Rheumatol. 2020;72(1):7-19. - PubMed
    1. Yoshida Y, Saraya T, Fujiwara M, et al. Wandering pneumonia mimicked by COVID-19. Intern Med. 2021;60(3):493-4. - PMC - PubMed
    1. Yamasue M, Kushima H, Ishii H, et al. A case of IgG4-related lung disease presenting with wandering shadows. Nihon Kokyuki Gakkaishi. 2014;3(5):719-22.

Publication types

LinkOut - more resources