Skip to main page content
U.S. flag

An official website of the United States government

Dot gov

The .gov means it’s official.
Federal government websites often end in .gov or .mil. Before sharing sensitive information, make sure you’re on a federal government site.

Https

The site is secure.
The https:// ensures that you are connecting to the official website and that any information you provide is encrypted and transmitted securely.

Access keys NCBI Homepage MyNCBI Homepage Main Content Main Navigation
. 2023 Dec;75(4):3917-3919.
doi: 10.1007/s12070-023-03975-z. Epub 2023 Jun 17.

Unveiling a Rarity: A Case Report on Glomangiopericytoma in the nasal cavity

Affiliations

Unveiling a Rarity: A Case Report on Glomangiopericytoma in the nasal cavity

Akshat Kushwaha et al. Indian J Otolaryngol Head Neck Surg. 2023 Dec.

Abstract

Sino-nasal glomangiopericytoma is a rare benign tumour comprising only about 0.5% of all sino-nasal tumours. Presenting as a bleeding nasal mass, it is among the myriad of differential diagnoses for the same. Clinical characterisation of mass becomes difficult; hence, histopathology and immunohistocytochemistry play an essential role in clenching the diagnosis. Optimal treatment includes complete tumour excision with endoscopic or open approaches with or without preoperative embolization and a long post-operative follow-up period. Here we report such a case treated with endoscopic approach.

Supplementary information: The online version contains supplementary material available at 10.1007/s12070-023-03975-z.

Keywords: Benign tumours of nose/ paranasal sinus; Glomangiopericytoma; Hemangiopericytoma; Spontaneous epistaxis; Vascular nasal mass.

PubMed Disclaimer

Conflict of interest statement

Conflicts of Interest/Competing InterestsNone to declare.

Figures

Fig. 1
Fig. 1
Endoscopic view of the right nasal cavity
Fig. 2
Fig. 2
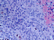
Photomicrograph (H&E stain x 100) showing tumor cells in diffuse pattern and perivascular hyalinization
Fig. 3
Fig. 3
Photomicrograph (H&E stain x 400) showing uniform cells with round to oval nuclei with hyperchromatic nuclei. Note the eosinophilic to clear cytoplasm with few areas of spindling

References

    1. Kono M, Bandoh N, Matsuoka R, Goto T, Akahane T, Kato Y, et al. Glomangiopericytoma of the nasal cavity with CTNNB1 p.S37C mutation: a Case Report and Literature Review. Head Neck Pathol. 2018;13:298–303. doi: 10.1007/s12105-018-0961-z. - DOI - PMC - PubMed
    1. Thompson L. World Health Organization classification of Tumours: Pathology and Genetics of Head and Neck Tumours. Ear Nose Throat J. 2006;85:74. doi: 10.1177/014556130608500201. - DOI - PubMed
    1. Dandekar M, McHugh JB. Sinonasal Glomangiopericytoma: case report with emphasis on the Differential diagnosis. Arch Pathol Lab Med. 2010;134:1444–1449. doi: 10.5858/2010-0233-CR.1. - DOI - PubMed
    1. Thompson LDR, Miettinen M, Wenig BM. Sinonasal-type hemangiopericytoma: a clinicopathologic and immunophenotypic analysis of 104 cases showing perivascular myoid differentiation. Am J Surg Pathol. 2003;27:737–749. doi: 10.1097/00000478-200306000-00004. - DOI - PubMed
    1. Watanabe K, Saito A, Suzuki M, Yamanobe S, Suzuki T. True hemangiopericytoma of the nasal cavity. Arch Pathol Lab Med. 2001;125:686–690. doi: 10.5858/2001-125-0686-THOTNC. - DOI - PubMed

LinkOut - more resources