Infection of the Aortic Stent Graft to Treat Arterioureteral Fistula
- PMID: 37990517
- PMCID: PMC10663726
- DOI: 10.5758/vsi.230072
Infection of the Aortic Stent Graft to Treat Arterioureteral Fistula
Abstract
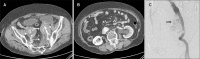
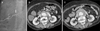
Arterioureteral fistula is a rare but life-threatening condition. An endovascular treatment approach is commonly used; however, there is a potential risk of infection. We present a case in which a patient presented with abdominal pain and was diagnosed with a ruptured internal iliac artery aneurysm and a subsequent arterioureteral fistula. An aortic stent graft was inserted to treat the arterioureteral fistula, but it subsequently became infected, resulting in the patient's death. This case underscores the importance of early diagnosis and treatment of arterioureteral fistula and the possibility of graft infection.
Keywords: Fistula; Infections; Stents; Ureter.
Conflict of interest statement
The authors have nothing to disclose.
Figures



References
-
- Kamphorst K, Lock TMTW, van den Bergh RCN, Moll FL, de Vries JPM, Lo RTH, et al. Arterio-ureteral fistula: systematic review of 445 patients. J Urol. 2022;207:35–43. doi: 10.1097/JU.0000000000002241. https://doi.org/10.1097/ju.0000000000002241. - DOI - PubMed
-
- Bergqvist D, Pärsson H, Sherif A. Arterio-ureteral fistula--a systematic review. Eur J Vasc Endovasc Surg. 2001;22:191–196. doi: 10.1053/ejvs.2001.1432. https://doi.org/10.1053/ejvs.2001.1432. - DOI - PubMed
-
- Batter SJ, McGovern FJ, Cambria RP. Ureteroarterial fistula: case report and review of the literature. Urology. 1996;48:481–489. doi: 10.1016/S0090-4295(96)00202-6. https://doi.org/10.1016/s0090-4295(96)00202-6. - DOI - PubMed
-
- Sherif A, Karacagil S, Magnusson A, Nyman R, Norlén BJ, Bergqvist D. Endovascular approach to treating secondary arterioureteral fistula. Scand J Urol Nephrol. 2002;36:80–82. doi: 10.1080/003655902317259436. https://doi.org/10.1080/003655902317259436. - DOI - PubMed
-
- Meester DJ, van Muiswinkel KW, Ameye F, Fransen H, Stockx L, Merckx L, et al. Endovascular treatment of a ureteroiliac fistula associated with ureteral double J-stenting and an aortic-bifemoral stent graft for an inflammatory abdominal aortic aneurysm. Ann Vasc Surg. 2006;20:408–410. doi: 10.1007/s10016-006-9048-5. https://doi.org/10.1007/s10016-006-9048-5. - DOI - PubMed
Publication types
LinkOut - more resources
Full Text Sources