Acute invasive fungal rhinosinusitis (AIFRS) - A histopathological analysis of expanding spectrum of fungal infections in backdrop of COVID-19 pandemic
- PMID: 38024940
- PMCID: PMC10657098
- DOI: 10.4103/jfmpc.jfmpc_629_23
Acute invasive fungal rhinosinusitis (AIFRS) - A histopathological analysis of expanding spectrum of fungal infections in backdrop of COVID-19 pandemic
Abstract
Context: Acute invasive fungal rhinosinusitis (AIFRS) is an aggressive infection affecting immunocompromised patients and carries a high morbidity and mortality. It is commonly seen in immunocompromised patients, mainly in uncontrolled diabetes, malignancy, acquired immunodeficiency syndrome, and so on. However, there has been an exponential increase in the incidence of AIFRS in relation to recent coronavirus disease 2019 (COVID-19) infection.
Aims: We present this study to assess histomorphological features of fungal infections in the background of COVID-19 era.
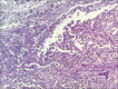
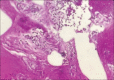
Materials and methods: The study includes interpretation of 34 biopsies of suspected AIFRS in post COVID-19 patients. The demographic details like patients age, sex, diabetic status, COVID-19 status, and history of steroid intake were collected. All specimens were stained with hematoxylin and eosin and PAS stain. Detailed microscopic examination including the presence of fungal hyphae in the tissue, characterization of inflammatory response, presence of tissue invasion, angioinvasion, and necrosis was noted for each case.
Results: Thirty-four biopsy specimens from various sites - nasal cavity, maxillary sinus, ethmoid sinus, and so on - were studied. The mean age of the patients with AIFRS was 52.68 years. The dominant fungi were Mucorales in 31 (91.3%), Aspergillus and Mucorales in 1 (2.9%), a combination of Mucorales and Candida identified in 1 (2.9%) case, and Candida alone in 1 case (2.9%). Bony invasion and perineural invasion were observed in 5 cases (14.7%) and 1 (2.9%) case, respectively.
Conclusion: Histopathological examination plays an essential role in the diagnosis and appropriate management of the patients. Histopathological features including characterization of fungi, angioinvasion, and bone invasion may provide information on rare dreaded infections in post-COVID-19 patients for possible prognostic characteristics on histology.
Keywords: Acute invasive fungal rhinosinusitis; COVID-19; histopathology; mucormycosis.
Copyright: © 2023 Journal of Family Medicine and Primary Care.
Conflict of interest statement
There are no conflicts of interest.
Figures






References
LinkOut - more resources
Full Text Sources