A Case of Asymptomatic Perforated Gangrenous Cholecystitis in a Diabetic Patient: A Critical Condition
- PMID: 38034240
- PMCID: PMC10687379
- DOI: 10.7759/cureus.48014
A Case of Asymptomatic Perforated Gangrenous Cholecystitis in a Diabetic Patient: A Critical Condition
Abstract
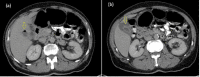
Gangrenous cholecystitis (GC) is a severe form of acute cholecystitis (AC) with ischemia and necrosis of the gallbladder (GB) wall. Patients with GC are sicker than the usual AC patients, and their surgical treatment is more complex and linked with a higher risk of morbidity and mortality. Typically, the first imaging modality used to assess patients with clinically suspected AC is ultrasound. However, if the ultrasound results were inconclusive, a CT scan might help evaluate these individuals. Our study presents a 62-year-old male who presented with mild right upper quadrant discomfort. However, an abdominal computed tomography CT scan showed a pericholecystic fluid collection with a sign of GB perforation that was managed with subtotal cholecystectomy. Five days after the operation, the patient was discharged to home in excellent condition.
Keywords: case report; cholecystitis; cholelithiasis; gangrenous cholecystitis; subtotal cholecystectomy.
Copyright © 2023, Lahham et al.
Conflict of interest statement
The authors have declared that no competing interests exist.
Figures
 
              
              
              
              
                
                
                 
              
              
              
              
                
                
                 
              
              
              
              
                
                
                References
Publication types
LinkOut - more resources
- Full Text Sources
- Miscellaneous
