Skip to main page content
U.S. flag

An official website of the United States government

Dot gov

The .gov means it’s official.
Federal government websites often end in .gov or .mil. Before sharing sensitive information, make sure you’re on a federal government site.

Https

The site is secure.
The https:// ensures that you are connecting to the official website and that any information you provide is encrypted and transmitted securely.

Access keys NCBI Homepage MyNCBI Homepage Main Content Main Navigation
. 2023 Aug 3;9(6):213-215.
doi: 10.1016/j.aace.2023.07.005. eCollection 2023 Nov-Dec.

Atypical Femur Fracture Unmasking Follicular Thyroid Cancer in a 54-year-old Woman

Affiliations

Atypical Femur Fracture Unmasking Follicular Thyroid Cancer in a 54-year-old Woman

Jennifer S Hatfield et al. AACE Clin Case Rep. .
No abstract available

PubMed Disclaimer

Conflict of interest statement

The authors have no multiplicity of interest to disclose. Patient consent was obtained. The views expressed in this article are those of the authors and do not reflect the official policy of the Department of Army/Navy/Air Force, Department of Defense, or the U.S. Government.

Figures

Fig. 1
Fig. 1
X-ray of the left hip showing avulsion fracture (arrow) at the left lesser trochanter.
Fig. 2
Fig. 2
Magnetic resonance imaging of the left femur showing a signal intensity near the left lesser trochanter with cortical disruption (arrow).
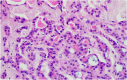
Fig. 3
Fig. 3
High-power hematoxylin and eosin staining highlighting nuclear features of papillary thyroid cancer including cytologic crowding, elongated/enlarged nuclei, nuclear grooves, and scattered intranuclear pseudoinclusions.

References

    1. Wu M.H., Lee Y.Y., Lu Y.L., Lin S.F. Risk factors and prognosis for metastatic follicular thyroid cancer. Front. Endocrinol. 2022;13 - PMC - PubMed
    1. Omar B., Yassir H., Youssef O., et al. A rare case of follicular thyroid carcinoma metastasis to the sacral region: a case report with literature review. Int J Surg Case Rep. 2022;94:1–3. - PMC - PubMed
    1. Ashorobi D., Lopez P.P. StatPearls Publishing; 2023. Follicular Thyroid Cancer. - PubMed

LinkOut - more resources