An Unusual Finding of a Neurogenic Tumor of the Trachea: A Tracheal Schwannoma
- PMID: 38046748
- PMCID: PMC10693382
- DOI: 10.7759/cureus.48172
An Unusual Finding of a Neurogenic Tumor of the Trachea: A Tracheal Schwannoma
Abstract
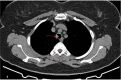
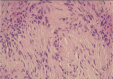
We report a rare case of a 57-year-old female patient with intraluminal tracheal obstruction caused by a benign schwannoma. She underwent successful bronchoscopic resection under general anesthesia, with no complications observed during the post-procedure follow-up. Tracheal schwannomas are exceedingly uncommon, and while conventional treatment involves surgical resection, bronchoscopic techniques, such as laser ablation, can be a valuable alternative, particularly for high-risk patients. Further studies are needed to explore the full potential of bronchoscopic interventions in managing tracheal schwannomas.
Keywords: argon laser; bronchoscopy; interventional pulmonology; schwannoma; tracheal neoplasms.
Copyright © 2023, Botero et al.
Conflict of interest statement
The authors have declared that no competing interests exist.
Figures





References
-
- Incidence and treatment of tracheal cancer: a nationwide study in the Netherlands. Honings J, van Dijck JA, Verhagen AF, van der Heijden HF, Marres HA. Ann Surg Oncol. 2007;14:968–976. - PubMed
-
- Interventional bronchoscopic therapy in adult patients with tracheobronchial schwannoma. Jin B, Wang T, Wang J, Qiu X, Pei Y, Wang Y, Zhang J. Ann Palliat Med. 2021;10:6279–6286. - PubMed
Publication types
LinkOut - more resources
Full Text Sources