Skip to main page content
U.S. flag

An official website of the United States government

Dot gov

The .gov means it’s official.
Federal government websites often end in .gov or .mil. Before sharing sensitive information, make sure you’re on a federal government site.

Https

The site is secure.
The https:// ensures that you are connecting to the official website and that any information you provide is encrypted and transmitted securely.

Access keys NCBI Homepage MyNCBI Homepage Main Content Main Navigation
Case Reports
. 2023 Nov 18;15(11):e48990.
doi: 10.7759/cureus.48990. eCollection 2023 Nov.

Primary Testicular Lymphoma Mimicking Germ-Cell Tumor: A Case Report

Affiliations
Case Reports

Primary Testicular Lymphoma Mimicking Germ-Cell Tumor: A Case Report

Murtadah Alnemer et al. Cureus. .

Abstract

There are 1% to 2% of lymphoma cases that include the testis as primary testicular non-Hodgkin lymphoma (NHL). In 35% of cases, it involves both testes and is usually seen as a painless testicular mass. Therefore, in most cases, the management option is radical orchiectomy. The overall prognosis in these cases is poor, as most cases are associated with systemic disease. We report a case of a 42-year-old male who presented with painless right scrotal swelling for three months. The only serologic marker of solid tumors that was elevated was βHCG; others were unremarkable. Ultrasonography was initially ordered as well and showed a heterogeneous intra-testicular lesion of relatively low echogenicity. According to the given age, epidemiology, and clinical presentation, the suspicion of a germ cell tumor was highly likely. Therefore, a right radical inguinal orchiectomy was done, and the specimen was sent for histopathology, which came back as B-cell non-Hodgkin lymphoma. The clinical presentation and the overall picture of the investigations made in this case mimicked a germ cell tumor presentation.

Keywords: b-cell; non-hodgkin lymphoma; primary testicular lymphoma; radical orchiectomy; testicular lymphoma.

PubMed Disclaimer

Conflict of interest statement

The authors have declared that no competing interests exist.

Figures

Figure 1
Figure 1. Shows right testicular ultrasonography and doppler ultrasound demonstrating a heterogeneous intratesticular lesion with relatively low echogenicity.
Figure 2
Figure 2. A pelvic CT (coronal and sagittal view) revealing a heterogeneous enlarged right testes with central foci of hypodensity.
Figure 3
Figure 3. A pelvic CT (transverse view) revealing a heterogeneous enlarged right testes with central foci of hypodensity.
Figure 4
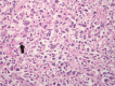
Figure 4. H&E ×100: reveals diffuse infiltration of the testis by atypical lymphoid cells. Some could be seen infiltrating the residual seminiferous tubule.
Figure 5
Figure 5. H&E ×400: shows medium to large atypical mitotically active lymphoid cells showing prominent nucleoli.
Figure 6
Figure 6. IHC ×400 shows MUM1 expression in large lymphoid cells.
MUM1: multiple myeloma oncogene 1.
Figure 7
Figure 7. IHC ×400 reveals PAX5 expression.
A nuclear marker indicating B cell histogenesis.
Figure 8
Figure 8. IHC ×400 shows OCT-2 expression.
Figure 9
Figure 9. IHC ×200 shows diffuse and strong expression of CD20 in the lymphoid cells.
Figure 10
Figure 10. IHC ×200 shows high Ki-67 labeling index (80%) 23-2401.

References

    1. Primary testicular non-Hodgkin's lymphoma: a review article. Bhatia K, Vaid AK, Gupta S, Doval DC, Talwar V. Sao Paulo Med J. 2007;125:286–288. - PMC - PubMed
    1. Bilateral primary testicular diffuse large B-cell lymphoma: a case report. Batista B, Safriadi F. J Surg Case Rep. 2021;2021:0. - PMC - PubMed
    1. Primary testicular diffuse large B-cell lymphoma: a case report. Guner SI, Karacetin D, Yuksel M. World J Oncol. 2013;4:61–65. - PMC - PubMed
    1. Primary malignant lymphoma of the testis. Petrescu A, Dobrea C, Vasilică M, Andrei F, Niculescu L. http://pubmed.ncbi.nlm.nih.gov/16286990/ Rom J Morphol Embryol. 2005;46:83–86. - PubMed
    1. Primary testicular T-lymphoblastic lymphoma in a child: a case report. Wang Y, Li J, Fang Y. Medicine (Baltimore) 2020;99:0. - PMC - PubMed

Publication types

LinkOut - more resources