Subjective and Objective Improvement in a 39-Year-Old Male Suffering From Severe Chronic Pain and Disability Using Chiropractic BioPhysics® Protocols Following Rear-Impact Motor Vehicle Crash With a 10-Month Long-Term Follow-Up
- PMID: 38125689
- PMCID: PMC10732608
- DOI: 10.7759/cureus.50849
Subjective and Objective Improvement in a 39-Year-Old Male Suffering From Severe Chronic Pain and Disability Using Chiropractic BioPhysics® Protocols Following Rear-Impact Motor Vehicle Crash With a 10-Month Long-Term Follow-Up
Abstract
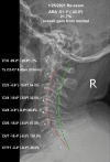
We present the case of a patient receiving structural rehabilitation following a rear-impact motor vehicle collision (MVC). Medications did not alleviate the symptoms of the crash injuries. Resolution of injury-caused pain and disability was found following postural and structural rehabilitation treatment. A 39-year-old male was injured in a rear-impact collision between two very large vehicles. Severe migraine headaches, neck pain, and radiculopathy, as well as lower back pain, were the result of the crash. Patient-reported outcomes (PROs) demonstrated that the symptoms were causing severe disability and poor health-related quality of life (HRQoL) measures. Radiographs found spine alignment abnormalities consistent with rear impact MVC. Chiropractic Biophysics® (CBP®) structural rehabilitation was performed. Following a treatment regimen involving strengthening weakened and damaged muscles, postural and spinal traction, postural spinal manipulative therapy (SMT), and home therapies resulted in the resolution of the symptoms. All outcome measures demonstrated improvement, including Short-Form 36 question health questionnaire (SF-36), quadruple visual analog scale (QVAS), headache disability index (HDI), neck disability index (NDI), revised Oswestry disability index (RODI), as well as significant measured improvements found on radiographs. Spine pain and altered alignment are frequent results of MVCs. If left uncorrected, these abnormalities increase the likelihood of chronic pain and disability. Combined low back pain (LBP), neck pain (NP), headache (HA), and radiculopathy, as found in our subject, significantly pre-dispose the individual to poor HRQoL, years lived with disability (YLDs) and increased the global burden of disease (GBD). Physicians who treat injured patients should have a repeatable, reliable, valid, and efficacious method to reduce pain, increase range of motion (ROM), improve spine alignment, and improve the performance of activities of daily living (ADLs). Further, larger studies of injured patients are necessary to determine if the CBP® protocol reduces GBD caused by MVC injuries.
Keywords: lordosis; migraine; motor vehicle crash (mvc); musculoskeletal rehabilitation; radiculopathy.
Copyright © 2023, Oakley et al.
Conflict of interest statement
The authors have declared financial relationships, which are detailed in the next section.
Figures



References
-
- Toney-Butler TJ, Varacallo M. Motor vehicle collisions. Treasure Island (FL): StatPearls Publishing; 2023. - PubMed
Publication types
LinkOut - more resources
Full Text Sources
Miscellaneous