Skip to main page content
U.S. flag

An official website of the United States government

Dot gov

The .gov means it’s official.
Federal government websites often end in .gov or .mil. Before sharing sensitive information, make sure you’re on a federal government site.

Https

The site is secure.
The https:// ensures that you are connecting to the official website and that any information you provide is encrypted and transmitted securely.

Access keys NCBI Homepage MyNCBI Homepage Main Content Main Navigation
Case Reports
. 2023 Nov 25;15(11):e49388.
doi: 10.7759/cureus.49388. eCollection 2023 Nov.

Posterior Reversible Encephalopathy Syndrome in the Immediate Postoperative Period of Gastric Cancer

Affiliations
Case Reports

Posterior Reversible Encephalopathy Syndrome in the Immediate Postoperative Period of Gastric Cancer

Ankur K Shrivastava et al. Cureus. .

Erratum in

Abstract

A 55-year-old female was referred to the Department of Ophthalmology with complaints of bilateral loss of vision. She had undergone subtotal gastrectomy with gastrojejunostomy and lymphadenectomy for poorly differentiated gastric adenocarcinoma in the antropyloric region the day before. On the first postoperative day, she complained of generalised weakness, drowsiness, altered sensorium, and acute, painless, bilateral loss of vision. Ocular examination revealed visual acuity as no perception of light, bilaterally, and normal pupillary light reflexes. Anterior and posterior segment examination was within normal limits. This clinical presentation of altered sensorium and cortical blindness along with characteristic radiological findings (hyperintensity on T2/fluid-attenuated inversion recovery sequence involving the bilateral parieto-occipital lobe extending in asymmetric fashion to the bilateral cerebellum, brainstem, and thalami predominantly involving the white matter with few areas of diffusion restriction on diffusion-weighted imaging sequence predominantly on the left side with gyriform pattern) confirmed the diagnosis of posterior reversible encephalopathy syndrome (PRES). In cancer patients, PRES has been reported in patients on chemotherapy regimen or two weeks after surgery for gastric cancer. Here, we want to draw attention to the fact that PRES may develop in the immediate postoperative period of gastric cancer surgery, as seen in our case.

Keywords: chemotherapy; cortical blindness; gastric cancer surgery; immediate postoperative period; posterior reversible encephalopathy syndrome.

PubMed Disclaimer

Conflict of interest statement

The authors have declared that no competing interests exist.

Figures

Figure 1
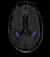
Figure 1. MRI brain coronal section showing hyperintensities in T2-weighted image in the bilateral parieto-occipital lobe extending in asymmetric fashion to the bilateral cerebellum, brainstem, and thalami predominantly involving the white matter
Figure 2
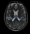
Figure 2. MRI brain coronal section showing hyperintensities in FLAIR sequence in the bilateral parieto-occipital lobe extending in asymmetric fashion to the bilateral cerebellum, brainstem, and thalami predominantly involving the white matter
FLAIR: fluid-attenuated inversion recovery
Figure 3
Figure 3. MRI brain showing few areas of diffusion restriction which were of high intensity on DWI sequence predominantly on the left side with gyriform pattern
DWI: diffusion-weighted imaging
Figure 4
Figure 4. MRI brain showing few areas of diffusion restriction which were of low intensity on the ADC map on the left side with gyriform pattern
ADC: apparent diffusion coefficient

References

    1. A reversible posterior leukoencephalopathy syndrome. Hinchey J, Chaves C, Appignani B, et al. N Engl J Med. 1996;334:494–500. - PubMed
    1. Reversible posterior leukoencephalopathy syndrome: a misnomer reviewed. Stott VL, Hurrell MA, Anderson TJ. Intern Med J. 2005;35:83–90. - PubMed
    1. Distinct imaging patterns and lesion distribution in posterior reversible encephalopathy syndrome. Bartynski WS, Boardman JF. AJNR Am J Neuroradiol. 2007;28:1320–1327. - PMC - PubMed
    1. The clinical and radiological spectrum of posterior reversible encephalopathy syndrome: the retrospective Berlin PRES study. Liman TG, Bohner G, Heuschmann PU, Endres M, Siebert E. J Neurol. 2012;259:155–164. - PubMed
    1. Posterior reversible encephalopathy syndrome, part 2: controversies surrounding pathophysiology of vasogenic edema. Bartynski WS. AJNR Am J Neuroradiol. 2008;29:1043–1049. - PMC - PubMed

Publication types

LinkOut - more resources