A Rare Case of Rhabdoid Pancreatic Carcinoma: Prolonged Disease-Free Survival Following Upfront Resection and Adjuvant Chemotherapy
- PMID: 38186431
- PMCID: PMC10771581
- DOI: 10.7759/cureus.50145
A Rare Case of Rhabdoid Pancreatic Carcinoma: Prolonged Disease-Free Survival Following Upfront Resection and Adjuvant Chemotherapy
Abstract
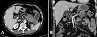
The rhabdoid subtype of undifferentiated pancreatic carcinoma is rarely reported. The clinical course of this disease is therefore poorly understood, although it is apparently an aggressive malignancy. We herein discuss the case of a 69-year-old man presenting with a rapidly enlarging mass of the pancreatic body and tail who was diagnosed with locally advanced SMARCB1-deficient undifferentiated pancreatic carcinoma with rhabdoid features, treated with radical resection and adjuvant chemotherapy, and has achieved 18-month disease-free survival ongoing at the time of article publication. We identify and contrast our case with 15 similar tumors reported in the English literature, briefly discuss the biology of this tumor, its relationship to malignant rhabdoid tumors of childhood, the role of SMARCB1 and its parent complex switch/sucrose-non-fermentable chromatin remodeling complex (SWI/SNF) in modulating the behavior of pancreatic malignancy, and the potential therapeutic avenues available for SWI/SNF-mutated malignancies.
Keywords: baf47; ini1; pancreas; pancreatic cancer; rhabdoid; sarcomatoid; smarcb1; swi/snf; switch/sucrose non-fermentable; undifferentiated pancreatic cancer.
Copyright © 2023, Land et al.
Conflict of interest statement
The authors have declared that no competing interests exist.
Figures


References
-
- Dolar V, Garcia J, Guo Ruihua, et al. Australian Burden of Disease Study: Impact and Causes of Illness and Death in Australia 2018. of Health and. Canberra, Australia: Australian Institute of Health and Welfare; [ May; 2022 ]. 2021. Australian Burden of Disease Study: Methods and supplementary material 2018; pp. 2021–2025.
-
- Cancer statistics, 2016. Siegel RL, Miller KD, Jemal A. CA Cancer J Clin. 2016;66:7–30. - PubMed
-
- Morphological study of 391 cases of exocrine pancreatic tumours with special reference to the classification of exocrine pancreatic carcinoma. Chen J, Baithun SI. J Pathol. 1985;146:17–29. - PubMed
-
- Complete response of anaplastic pancreatic carcinoma to paclitaxel treatment selected by chemosensitivity testing. Wakatsuki T, Irisawa A, Imamura H, et al. Int J Clin Oncol. 2010;15:310–313. - PubMed
-
- A matched-cohort analysis of 192 pancreatic anaplastic carcinomas and 960 pancreatic adenocarcinomas: A 13-year North American experience using the National Cancer Data Base (NCDB) Paniccia A, Hosokawa PW, Schulick RD, Henderson W, Kaplan J, Gajdos C. Surgery. 2016;160:281–292. - PubMed
Publication types
LinkOut - more resources
Full Text Sources