Peripheral T-Cell Lymphoma in a Patient Previously Diagnosed With Sarcoidosis
- PMID: 38188478
- PMCID: PMC10769647
- DOI: 10.14740/jh1173
Peripheral T-Cell Lymphoma in a Patient Previously Diagnosed With Sarcoidosis
Abstract
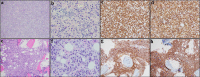
Sarcoidosis is a multisystem disorder characterized by granulomatous inflammation on histopathological evaluation. Diagnosis of sarcoidosis requires thorough elimination of malignancy and alternative causes of noncaseating granulomatous inflammation. Sarcoidosis and several subtypes of lymphoma have similar clinical presentations and can potentially have similar histopathological findings. Patients with a histopathology-confirmed diagnosis of sarcoidosis are at higher risk of developing malignancies. In this report, we present a case of a 64-year-old male diagnosed with sarcoidosis 2 years before presenting to the emergency department with a 4-month history of generalized weakness, cough, and very high fever. After a thorough workup involving cervical lymph node biopsy and bone marrow biopsy, he was diagnosed with peripheral T-cell lymphoma, not otherwise specified (PTCL, NOS). Due to the patient's current lymphoma diagnosis and features noted on pathology, a retrospective review of the prior biopsy specimen was performed, finding similar hematopathological features on both initial lymph node biopsy diagnosing sarcoidosis and current biopsies diagnosing lymphoma. Given these findings, our patient likely had early manifestation of PTCL misdiagnosed as sarcoidosis. In summary, lymphoma should be considered in all patients with suspected sarcoidosis, especially those who do not respond to treatment or who present with persistent hematological abnormalities.
Keywords: Peripheral T-cell lymphoma; Sarcoidosis; Sarcoidosis-lymphoma syndrome.
Copyright 2023, Menghani et al.
Conflict of interest statement
None to declare.
Figures


References
Publication types
LinkOut - more resources
Full Text Sources