Traumatic Pseudoaneurysms of the Internal Mammary Artery: Two Cases and Percutaneous Intervention
- PMID: 38201372
- PMCID: PMC10802145
- DOI: 10.3390/diagnostics14010063
Traumatic Pseudoaneurysms of the Internal Mammary Artery: Two Cases and Percutaneous Intervention
Abstract
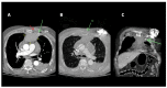
Pseudoaneurysms involving the internal mammary artery/internal thoracic artery (IMA/ITA) are rare occurrences, and the presentation and treatment approaches for such cases can be variable. Due to the potentially life-threatening risk of rupture, leading to conditions like hemothorax, it is important to have a comprehensive understanding of safe and effective diagnostic and therapeutic techniques. We present two cases of IMA/ITA artery pseudoaneurysms. A 91-year-old male presented to the emergency department following a motor vehicle accident. A CT scan of the chest revealed an anterior mediastinal hemorrhage with active extravasation. Percutaneous intervention revealed a pseudoaneurysm arising from a left IMA/ITA side branch. Coil embolization effectively treated the pseudoaneurysm. In the second case, a 79-year-old male presented with a sternal fracture after a ground-level fall, with parasternal hematoma and active bleeding (pseudoaneurysm) on Trauma Computerized Tomography of the chest with contrast. He underwent coil embolization, and subsequent post-procedure angiograms confirmed the effective occlusion of the left IMA/ITA, with no further visualization of the pseudoaneurysm. These two cases underscore the importance of tailored approaches in treating internal mammary artery pseudoaneurysms.
Keywords: CT; internal mammary artery; internal thoracic artery; interventional radiology; percutaneous intervention; pseudoaneurysm.
Conflict of interest statement
The authors declare no conflict of interest.
Figures
References
-
- Rivera P.A., Dattilo J.B. Pseudoaneurysm. StatPearls Publishing Updated; Treasure Island, FL, USA: 2022.
-
- Shahoud J.S., Kerndt C.C. Burns, BAnatomy, Thorax, Internal Mammary (Internal Thoracic) Arteries. Publishing Updated; Treasure Island, FL, USA: 2023. - PubMed
Publication types
LinkOut - more resources
Full Text Sources
