Society for Cardiovascular Magnetic Resonance 2022 Cases of SCMR case series
- PMID: 38211509
- PMCID: PMC11211240
- DOI: 10.1016/j.jocmr.2023.100007
Society for Cardiovascular Magnetic Resonance 2022 Cases of SCMR case series
Abstract
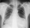
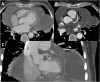
"Cases of SCMR" is a case series on the SCMR website (https://www.scmr.org) for the purpose of education. The cases reflect the clinical presentation, and the use of cardiovascular magnetic resonance (CMR) in the diagnosis and management of cardiovascular disease. The 2022 digital collection of cases are presented in this manuscript.
Keywords: Arrhythmogenic cardiomyopathy; COVID-19; Cardio-oncology; Congenital Heart disease; Coronary artery aneurysm; Hydatid disease; Hypertrophic cardiomyopathy; Metastatic disease; Myocardial. infarction; Myocarditis; Takotsubo; Vaccine associated myocarditis; Viability.
Copyright © 2024 The Authors. Published by Elsevier Inc. All rights reserved.
Conflict of interest statement
Competing interests There are no competing interests. Declaration of Competing Interest The authors declare that they have no known competing financial interests or personal relationships that could have appeared to influence the work reported in this paper.
Figures
























































References
-
- Bellino S., Punzo O., Rota M.C., Del Manso M., Urdiales A.M., Andrianou X., et al. COVID-19 disease severity risk factors for pediatric patients in Italy. Pediatrics. 2020;146(4) - PubMed
-
- Molaei A., Sadeghi-Shabestari M., Khomahani A., Ghaffari S., Sadat-Ebrahimi S.-R. Cardiac Biomarkers for early detection of cardiac involvement in children with Kawasaki disease: A cross-sectional study. International Journal of Pediatrics. 2019;7(12):10573–10582.
Publication types
MeSH terms
LinkOut - more resources
Full Text Sources