Fetal surgery for occipital encephalocele: A case report
- PMID: 38213449
- PMCID: PMC10783659
- DOI: 10.25259/SNI_588_2023
Fetal surgery for occipital encephalocele: A case report
Abstract
Background: Occipital encephalocele is a congenital defect of the neural tube at the level of the cranial midline, which results in herniation of meninges and brain tissue. The results of the management of myelomeningocele study determine the maternal and fetal risks for an open fetal surgery and have motivated the constant review of the concepts and strategies which the pediatric neurosurgeon can employ for the treatment of neural tube defects in the prenatal period.
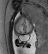
Case description: We present a case of a female patient in utero of 26 gestational weeks with the diagnosis of an occipital encephalocele treated by open fetal surgery. During week 20 of gestation, the diagnosis of occipital encephalocele was made by ultrasound, which was corroborated by fetal magnetic resonance that showed cranial protrusion of neural and meningeal content in the occipital region, measuring 1.6 × 2.8 × 3.3 cm with an approximate volume of 7.7 cc through a bone defect of 6 mm. The closure of the defect was performed by the postnatal surgical technique adapted to the open fetal surgery. Later, the patient was born transabdominal with a 2.8 cm occipital wound, with suture points and approximated borders, normocephalic, without clinical signs of sepsis, hydrocephalus, or overt neurologic compromise.
Conclusion: Open fetal surgery is a therapeutic option in the face of an isolated occipital encephalocele. This case report demonstrates the viability of the surgical procedure by the adaptation of a postnatal surgical technique to a prenatal surgery. Further studies are needed to evaluate the long-term functional results, comparing them with those seen in patients who undergo a postnatal procedure.
Keywords: Cranial dysraphism; Fetal surgery; Occipital encephalocele.
Copyright: © 2023 Surgical Neurology International.
Conflict of interest statement
There are no conflicts of interest.
Figures





References
-
- Cavalheiro S, da Costa MD, Barbosa MM, Suriano IC, Ottaiano AC, de Andrade Lourenção Freddi T, et al. Fetal neurosurgery. Childs Nerv Syst. 2023;39:2899–9. - PubMed
-
- Cavalheiro S, Silva da Costa MD, Nicácio JM, Dastoli PA, Capraro Suriano I, Barbosa MM, et al. Fetal surgery for occipital encephalocele. J Neurosurg Pediatr. 2020;26:605–12. - PubMed
-
- Gadgil N, McClugage SG, Aldave G, Bauer DF, Weiner HL, Huisman TA, et al. Natural history of posterior fetal cephaloceles and incidence of progressive cephalocele herniation. J Neurosurg Pediatr. 2022;30:1–7. - PubMed
Publication types
LinkOut - more resources
Full Text Sources