Ultrasonic optic nerve sheath diameter can be used as a diagnostic measure after accidental dural puncture during cesarean section: a case report
- PMID: 38254029
- PMCID: PMC10802025
- DOI: 10.1186/s12871-024-02418-8
Ultrasonic optic nerve sheath diameter can be used as a diagnostic measure after accidental dural puncture during cesarean section: a case report
Abstract
Background: Parturients are prone to postdural puncture headache (PDPH) after epidural puncture. Cerebral venous sinus thrombosis (CVST) is a fatal complication of PDPH. The main symptom of both is headache, however, the mechanism is not similar. For persistent PDPH, early differential diagnosis from CVST is essential. Optic nerve sheath diameter (ONSD) measurements can be used to identify changes in intracranial pressure as an auxiliary tool to distinguish the cause of headache.
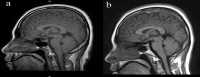
Case presentation: The dura of a 32-year-old woman undergoing cesarean section was accidentally penetrated while administering epidural anesthesia, and the patient developed PDPH the subsequent day. The patient refused epidural blood patch (EBP) treatment and was discharged after conservative treatment. Fourteen days post-discharge, she was readmitted for a seizure. Magnetic resonance imaging (MRI) and Magnetic resonance angiography (MRA) indicated low cranial pressure syndrome and superior sagittal sinus thrombosis with acute infarction. The next morning, the EBP was performed with 15 ml autologous blood. Subsequently, the headache symptoms decreased during the day and worsened at night. ONSD measurement suggested dilation of the optic nerve sheath, and subsequently, the patient showed intracranial hypertension with papilledema. After dehydration and anticoagulant treatment, the patient's symptoms were relieved and she was discharged from the hospital 49 days later.
Conclusions: Headache is the main symptom of PDPH and cerebral venous thrombosis, which are difficult to distinguish. ONSD measurement may help to estimate the intracranial pressure, and early measurement may be helpful for women with PDPH to avoid serious complications, such as CVST.
Keywords: Cerebral venous thrombosis; Cesarean section; Optic nerve sheath diameter; Postdural puncture headache.
© 2024. The Author(s).
Conflict of interest statement
The authors declare no competing interests.
Figures
References
Publication types
MeSH terms
LinkOut - more resources
Full Text Sources
Medical
