Neurodevelopmental Outcome and Neuroimaging of Very Low Birth Weight Infants from an Italian NICU Adopting the Family-Centered Care Model
- PMID: 38275433
- PMCID: PMC10813860
- DOI: 10.3390/children11010012
Neurodevelopmental Outcome and Neuroimaging of Very Low Birth Weight Infants from an Italian NICU Adopting the Family-Centered Care Model
Abstract
Background: Improvements in perinatal care have substantially decreased mortality rates among preterm infants, yet their neurodevelopmental outcomes and quality of life persist as a pertinent public health concern. Family-centered care has emerged as a holistic philosophy that promotes effective alliances among patients, families, and healthcare providers to improve the quality of care.
Aims: This longitudinal prospective study aims to evaluate the neurodevelopmental outcomes and brain MRI findings in a cohort of preterm newborns admitted to a neonatal intensive care unit (NICU) adopting a family-centered care model.
Methods: Very low birth weight (VLBW) infants admitted to the NICU of Modena between 2015 and 2020 were enrolled. Infants who underwent conventional brain magnetic resonance imaging (MRI) at term-equivalent age were included. Neurodevelopmental follow-up was performed until the age of 24 months by a multidisciplinary team using the Amiel-Tison neurological assessment and the Griffiths Mental Developmental Scales (GMDS-R). Neurodevelopmental outcomes were classified as major sequelae (cerebral palsy, DQ ≤ 70, severe sensory impairment), minor sequelae (minor neurological signs such as clumsiness or DQ between 71 and 85), and normal outcomes (no neurological signs and DQ > 85). Risk factors for severe outcomes were assessed.
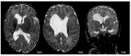
Results: In total, 49 of the 356 infants (13.8%) died before hospital discharge, and 2 were excluded because of congenital disorders. Of the remaining 305 infants, 222 (72.8%) completed the 24 month follow-up and were included in the study. Neurodevelopmental outcomes were classified as normal (n = 173, 77.9%), minor (n = 34, 15.3%), and major sequelae (n = 15, 6.8%). Among 221 infants undergoing brain MRI, 76 (34.4%) had major lesions (intraventricular hemorrhage, hemorrhagic parenchymal infarction, periventricular leukomalacia, and large cerebellar hemorrhage). In the multivariate regression model, the retinopathy of prematurity (OR 1.8; p value 0.016) and periventricular-intraventricular hemorrhage (OR 5.6; p value < 0.004) were associated with major sequelae.
Conclusions: We reported low rates of severe neurodevelopmental outcomes in VLBW infants born in an Italian NICU with FCC. Identifying the risk factors for severe outcomes can assist in tailoring and optimizing early interventions on an individual basis, both within the NICU and after discharge.
Keywords: brain magnetic resonance imaging; neurodevelopmental outcomes; preterm infants; very low birth weight.
Conflict of interest statement
The authors have no conflicts of interest to declare.
Figures









References
-
- Cavallo M.C., Gugiatti A., Fattore G., Gerzeli S., Barbieri D., Zanini R., Neonatal Adequate Care for Quality of Life (NEO-ACQUA) Study Group Cost of care and social consequences of very low birth weight infants without premature- related morbidities in Italy. Ital. J. Pediatr. 2015;41:59. doi: 10.1186/s13052-015-0165-z. - DOI - PMC - PubMed
-
- Stoll B.J., Hansen N.I., Bell E.F., Walsh M.C., Carlo W.A., Shankaran S., Laptook A.R., Sánchez P.J., Van Meurs K.P., Wyckoff M., et al. Eunice Kennedy Shriver National Institute of Child Health and Human Development Neonatal Research Network. Trends in Care Practices, Morbidity, and Mortality of Extremely Preterm Neonates, 1993–2012. JAMA. 2015;314:1039–1051. doi: 10.1001/jama.2015.10244. - DOI - PMC - PubMed
LinkOut - more resources
Full Text Sources