Late Local Recurrence after Neoadjuvant Therapy and Radical Resection for Locally Advanced Rectal Cancer
- PMID: 38275889
- PMCID: PMC10814985
- DOI: 10.3390/cancers16020448
Late Local Recurrence after Neoadjuvant Therapy and Radical Resection for Locally Advanced Rectal Cancer
Abstract
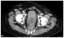
Neoadjuvant radiochemotherapy (RCT) and lately total neoadjuvant therapy (TNT) improved local recurrence rates of rectal cancer significantly compared to total mesorectal excision (TME) alone. Yet the occurrence and impact of late local recurrences after many years appears to be a distinct biological problem. We included n = 188 patients with rectal cancer after RCT and radical resection in this study; n = 38 of which had recurrent disease (sites: local (8.0%), liver (6.4%), lung (3.7%)). We found that 68% of all recurrences developed within the first two years. Four patients, however, experience recurrence >8 years after surgery. Here, we report and characterize four cases of late local recurrence (10% of patients with recurrent disease), suggesting that neoadjuvant therapy in principle delays local recurrence.
Keywords: follow-up; local recurrence; neoadjuvant; outcome; radiochemotherapy; rectal cancer; surveillance.
Conflict of interest statement
The authors declare no conflicts of interest.
Figures








References
-
- Bujko K., Nowacki M.P., Nasierowska-Guttmejer A., Michalski W., Bębenek M., Pudełko M., Kryj M., Olędzki J., Szmeja J., Słuszniak J., et al. Sphincter Preservation Following Preoperative Radiotherapy for Rectal Cancer: Report of a Randomised Trial Comparing Short-Term Radiotherapy vs. Conventionally Fractionated Radiochemotherapy. Radiother. Oncol. 2004;72:15–24. doi: 10.1016/j.radonc.2003.12.006. - DOI - PubMed
-
- Ding P., Liska D., Tang P., Shia J., Saltz L., Goodman K., Downey R.J., Nash G.M., Temple L.K., Paty P.B., et al. Pulmonary Recurrence Predominates after Combined Modality Therapy for Rectal Cancer: An Original Retrospective Study. Ann. Surg. 2012;256:111–116. doi: 10.1097/SLA.0b013e31825b3a2b. - DOI - PubMed
-
- Van Gijn W., Marijnen C.A.M., Nagtegaal I.D., Kranenbarg E.M.K., Putter H., Wiggers T., Rutten H.J.T., Påhlman L., Glimelius B., Van de Velde C.J.H. Preoperative Radiotherapy Combined with Total Mesorectal Excision for Resectable Rectal Cancer: 12-Year Follow-up of the Multicentre, Randomised Controlled TME Trial. Lancet Oncol. 2011;12:575–582. doi: 10.1016/S1470-2045(11)70097-3. - DOI - PubMed
LinkOut - more resources
Full Text Sources