Aortic arch rupture in a patient with Marfan syndrome and previous aortic root repair: A stepwise approach to intraoperative catastrophe
- PMID: 38322912
- PMCID: PMC10844264
- DOI: 10.1016/j.heliyon.2024.e25235
Aortic arch rupture in a patient with Marfan syndrome and previous aortic root repair: A stepwise approach to intraoperative catastrophe
Abstract
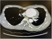
Marfan syndrome (MS) is an autosomal dominant connective tissue disease associated with significant morbidity and mortality due to progressive dilatation of the thoracic aorta which can lead to aortic rupture. Survival from an aortic rupture is predicated on immediate organized and goal directed care by both surgical and anesthesia teams. This case highlights how coordinated care from a cardiac operating room team, including early preparation of autologous blood products, expeditious placement of intravascular access for rapid high volume transfusion, and intentional communication between anesthesia, perfusion, surgery and nursing during the resuscitation in the OR, can all lead to an improved outcome.
Keywords: Aortic rupture; Cardiac anesthesia; Marfan syndrome; Massive transfusion; Resuscitation.
© 2024 The Authors. Published by Elsevier Ltd.
Conflict of interest statement
The authors declare that they have no known competing financial interests or personal relationships that could have appeared to influence the work reported in this paper.
Figures


References
-
- Isselbacher E.M., Preventza O., Hamilton Black J., et al. ACC/AHA guideline for the diagnosis and management of aortic disease: a report of the American heart association/American college of cardiology joint committee on clinical practice guidelines. Circulation. 2022;146(24):e334–e482. 2022. - PMC - PubMed
-
- Benedetto U., Melina G., Takkenberg J.J., et al. Surgical management of aortic root disease in Marfan syndrome: a systematic review and meta-analysis. Heart. 2011;97(12):955–958. - PubMed
-
- Boucher N., Dreksler H., Hooper J., et al. Anaesthesia for vascular emergencies - a state of the art review. Anaesthesia. 2023;78(2):236–246. - PubMed
-
- Johansson G., Markström U., Swedenborg J. Ruptured thoracic aortic aneurysms: a study of incidence and mortality rates. J. Vasc. Surg. 1995;21(6):985–988. - PubMed
Publication types
LinkOut - more resources
Full Text Sources