Relapsing subcutaneous nodules of the penis in a pediatric patient
- PMID: 38348422
- PMCID: PMC10859902
- DOI: 10.4081/dr.2023.9687
Relapsing subcutaneous nodules of the penis in a pediatric patient
Abstract
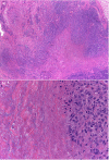
A 14-year-old boy presented with a history of non-tender, subcutaneous coalescing nodules located on the ventral-lateral aspects of the penis shaft for one year. Laboratory investigations for blood count and autoimmunity were within normal limits. Complete excision was performed, and on histology, the dermis showed necrobiotic material composed of altered collagen bundles, surrounded by a palisade of histiocytes and scattered lymphocytes, thus allowing a diagnosis of subcutaneous granuloma annulare. Only 18 published cases reported penile granuloma annulare. Medical management was advocated in 7/18 cases, either as a first-line or adjuvant therapy where surgery was not radical. Three patients received high-potency local steroids: two cases underwent adjuvant sessions of intralesional triamcinolone, and one patient received pentoxifylline orally. Surgery should be considered a second-line option since 5/8 of treated cases eventually recurred. The pentoxifylline-treated case witnessed a relapse after drug discontinuation, while topical steroids lead to complete recovery without relapses.
Keywords: children; genitals; granuloma annulare; lump; penis.
Copyright © 2023, the Author(s).
Conflict of interest statement
Conflict of interest: the authors declare no potential conflict of interest.
Figures
References
-
- Requena L, Fernández-Figueras MT. Subcutaneous granuloma annulare. Semin Cutan Med Surg 2007;26:96-9. - PubMed
-
- Mercieca L, Carabot P, Boffa MJ. Penile granuloma annulare. Skinmed 2016;14:233-6. - PubMed
-
- Sidwell RU, Green JS, Agnew K, et al. . Subcutaneous granuloma annulare of the penis in 2 adolescents. J Pediatr Surg 2005;40:1329-31. - PubMed
-
- Forman SB, Sumfest JM, Pride HB, Ferringer TC. Penile granuloma annulare of an adolescent male-case report and review of the literature. Pediatr Dermatol 2008;25:260-2. - PubMed
LinkOut - more resources
Full Text Sources
