Edge Creep: Increased Pigmentation at the Border of Choroidal Melanomas Treated with Plaque Brachytherapy
- PMID: 38376093
- PMCID: PMC10821788
- DOI: 10.1159/000531006
Edge Creep: Increased Pigmentation at the Border of Choroidal Melanomas Treated with Plaque Brachytherapy
Abstract
Introduction: There is an increase in pigmentation that occurs in many tumors following plaque brachytherapy for choroidal melanoma. Correctly distinguishing between increased pigment at the tumor border versus true growth is imperative. We performed a retrospective review of patients treated with I-125 brachytherapy for choroidal melanoma at our institution to study this phenomenon.
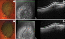
Methods: Records were reviewed for all patients undergoing plaque brachytherapy for uveal melanoma for a 5-year period (N = 195). Patients with iris and anterior tumors were excluded. Tumors treated more than 31 days after presentation were excluded. Fundus images for patients with increased pigmentation at any of the borders of the tumor at 6-month follow-up that extended beyond the initial pigmented margin were included (N = 20; 8 F, 12 M). Imaging at the last follow-up was reviewed, and it was confirmed that all tumors involuted appropriately with no evidence of local recurrence. The date of initial exam, time to treatment, and follow-up interval were recorded for each included patient.
Results: Twenty patients (10%) exhibited increased pigment deposition at any of the borders of the tumor at 6-month follow-up that extended beyond the initial pigmented margin. Average tumor thickness was 3.2 mm (1.3-5.1); average largest tumor basal diameter was 11.6 mm (7-15.5). Average time from diagnosis to treatment was 25 days (17-31). Average length of follow-up was 35 months (16-68). No patient developed recurrence during the duration of follow-up, and 1 patient had developed metastasis.
Conclusion: We describe the phenomenon of increased pigment deposition, "edge creep," at the borders of choroidal melanomas treated with plaque brachytherapy that gave the appearance of initial tumor growth but then subsequently remained stable over time. It is important that treating ocular oncologists be aware of this phenomenon to avoid unnecessary diagnosis of local recurrence.
Keywords: Brachytherapy; Choroidal melanoma; Tumor regression; Uveal melanoma.
© 2023 S. Karger AG, Basel.
Conflict of interest statement
The authors have no conflicts of interest to disclose.
Figures
References
-
- Shields CL, Sioufi K, Srinivasan A, Di Nicola M, Masoomian B, Barna LE, et al. . Visual outcome and millimeter incremental risk of metastasis in 1780 patients with small choroidal melanoma managed by plaque radiotherapy. JAMA Ophthalmol. 2018;136(12):1325–33. 10.1001/jamaophthalmol.2018.3881. - DOI - PMC - PubMed
-
- Melia BM, Abramson DH, Albert DM, Boldt HC, Earle JD, Hanson WF, et al. . Collaborative Ocular Melanoma Study (COMS) randomized trial of I-125 brachytherapy for medium choroidal melanoma. I. Visual acuity after 3 years COMS report no. 16. Ophthalmology. 2001;108(2):348–66. 10.1016/s0161-6420(00)00526-1. - DOI - PubMed
LinkOut - more resources
Full Text Sources
