Leukodystrophy Imaging: Insights for Diagnostic Dilemmas
- PMID: 38390857
- PMCID: PMC10885080
- DOI: 10.3390/medsci12010007
Leukodystrophy Imaging: Insights for Diagnostic Dilemmas
Abstract
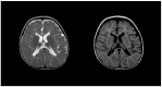
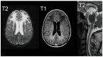
Leukodystrophies, a group of rare demyelinating disorders, mainly affect the CNS. Clinical presentation of different types of leukodystrophies can be nonspecific, and thus, imaging techniques like MRI can be used for a more definitive diagnosis. These diseases are characterized as cerebral lesions with characteristic demyelinating patterns which can be used as differentiating tools. In this review, we talk about these MRI study findings for each leukodystrophy, associated genetics, blood work that can help in differentiation, emerging diagnostics, and a follow-up imaging strategy. The leukodystrophies discussed in this paper include X-linked adrenoleukodystrophy, metachromatic leukodystrophy, Krabbe's disease, Pelizaeus-Merzbacher disease, Alexander's disease, Canavan disease, and Aicardi-Goutières Syndrome.
Keywords: demyelinating disorders; leukodystrophies; magnetic resonance imaging; myelin imaging; white matter disorders.
Conflict of interest statement
The authors declare no conflicts of interest.
Figures






References
Publication types
MeSH terms
LinkOut - more resources
Full Text Sources
Medical