Treatment of Medial Instability of the Carpometacarpal and Tarsometatarsal Joints Using the Isolock® System in Two Dogs
- PMID: 38396544
- PMCID: PMC10886066
- DOI: 10.3390/ani14040577
Treatment of Medial Instability of the Carpometacarpal and Tarsometatarsal Joints Using the Isolock® System in Two Dogs
Abstract
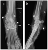
This case report describes a novel procedure using the Isolock Intrauma® implant system for treating medial instability of the carpometacarpal and tarsometatarsal joints, as demonstrated in in two dogs. A 9-year-old spayed female Spanish greyhound presented with a non-weight-bearing right hindlimb following a trauma. The clinical and radiological findings confirmed medial tarsometatarsal instability consistent with valgus deviation of the tarsus and the opening of the joint line on the medial aspect from the first to the third tarsometatarsal joints. A 4-year-old female Drahthaar presented with a non-weight-bearing left forelimb, swelling of the carpus and valgus instability. Radiological examination revealed a widening of the spaces between the intermedioradial carpal bone, second carpal bone and metacarpal bone II, confirming the medial carpometacarpal instability. In both cases, the Isolock system, an implant including ultra-high-molecular-weight polyethylene suture (UHMWPE), was used to reinforce the medial joint structures. Minor short-term complications were observed, such as swelling of the tarsal surgical site and hyperextension of the carpus, but these resolved spontaneously. No lameness or major complications were reported five months postoperatively. Carpometacarpal and tarsometatarsal instabilities are rare diseases in dogs as compared to subluxations of the other joints of the carpus and tarsus. There are no previous reports regarding the use of a UHMPWE implant for the treatment of these rare joint injuries, though the present case report suggests the validity and efficacy of the Isolock Intrauma® implant for restoring carpal and tarsal stability and preserving joint mobility.
Keywords: carpometacarpal joint; dog; tarsometatarsal joint; valgus instability.
Conflict of interest statement
The authors declare no conflicts of interest.
Figures
References
-
- Carmichael S., Marshall W. Tarsus and metatarsus. In: Johnson S.A., Tobias K.M., editors. Veterinary Surgery Small Animal. 2nd ed. Volume 1. Elsevier Saunders; St. Louis, MO, USA: 2017. pp. 1193–1209.
-
- Kapatkin A.S., Garcia-Nolen T., Hayashi K. Carpus, metacarpus and digits. In: Johnson S.A., Tobias K.M., editors. Veterinary Surgery Small Animal. 2nd ed. Volume 1. Elsevier Saunders; St. Louis, MO, USA: 2017. pp. 920–938.
-
- Evans H.E., de Lahunta A., editors. Miller’s Anatomy of the Dog. 4th ed. Elsevier Saunders; St. Louis, MO, USA: 2013. Arthrology; pp. 158–181.
Publication types
LinkOut - more resources
Full Text Sources
