Patient-Specific Implants in Maxillofacial Reconstruction - A Case Report
- PMID: 38405555
- PMCID: PMC10883205
- DOI: 10.4103/ams.ams_126_23
Patient-Specific Implants in Maxillofacial Reconstruction - A Case Report
Abstract
Rationale: The successful utilisation of three dimensional (3D) techniques in engineering a titanium patient specific implant (PSI) for a patient who underwent hemimaxillectomy following post COVID mucormycosis infection.
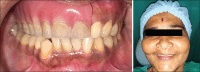
Patient concerns: Issues related to problems associated with resection following mucormycosis, such as occlusal function, aesthetics and facial asymmetry.
Diagnosis: The patient affected by mucormycosis was left with Aramany class 1 and Cordeiro type II sub total maxillectomy defect.
Treatment: The patient was operated for mucormycosis followed by reconstruction with patient specific implant.
Outcome: Positive clinical outcomes, including improved facial symmetry, function and psychological well being with immediate replacement of the teeth, the benefits of which far outweigh the traditional approach.
Take away lessons: The advances in the use of PSI by integration of 3D printing and computer aided design computer aided manufacturing (CAD-CAM) technology for extensive and challenging defects in the maxillofacial region have been highlighted in this case report.
Keywords: Case report; occlusion; patient-specific implants; prosthetic rehabilitation; reconstructive surgery.
Copyright: © 2024 Annals of Maxillofacial Surgery.
Conflict of interest statement
There are no conflicts of interest.
Figures








References
-
- Järvinen S, Suojanen J, Kormi E, Wilkman T, Kiukkonen A, Leikola J, et al. The use of patient specific polyetheretherketone implants for reconstruction of maxillofacial deformities. J Craniomaxillofac Surg. 2019;47:1072–6. - PubMed
Publication types
LinkOut - more resources
Full Text Sources
Miscellaneous