Skip to main page content
U.S. flag

An official website of the United States government

Dot gov

The .gov means it’s official.
Federal government websites often end in .gov or .mil. Before sharing sensitive information, make sure you’re on a federal government site.

Https

The site is secure.
The https:// ensures that you are connecting to the official website and that any information you provide is encrypted and transmitted securely.

Access keys NCBI Homepage MyNCBI Homepage Main Content Main Navigation
Case Reports
. 2024 Feb 9;86(3):1734-1738.
doi: 10.1097/MS9.0000000000001814. eCollection 2024 Mar.

Medical thoracoscopy with cryobiopsy as diagnostic tool for pleural metastatic in cutaneous squamous cell carcinoma: a rare case report

Affiliations
Case Reports

Medical thoracoscopy with cryobiopsy as diagnostic tool for pleural metastatic in cutaneous squamous cell carcinoma: a rare case report

Jimmy Tanamas et al. Ann Med Surg (Lond). .

Abstract

Introduction: Distance metastasis of cutaneous squamous cell carcinoma (cSCC) to pleural is rarely reported, and meets difficulties in diagnosing due to quality of pleural biopsy sample. This case presented a novel technique by using cryobiopsy to obtain adequate sample and was first conducted in our hospital.

Case presentation: A 62-years-old man admitted to hospital with dyspnoea due to massive right pleural effusion. Lung multi-sliced computed tomography showed right lung pleural effusion with compression atelectasis as well as collapse of medial lobe and upper lobe, multiple solitary nodules on mediastinal, costal antero-posterior and right diaphragm pleural part. Medical thoracoscopy was performed to obtain pleural samples by using cryobiopsy and forceps biopsy. Pathological analysis with Immunohistochemistry (IHC) revealed metastatic squamous cell carcinoma.

Discussion: Recurrence rate of cSCC remains high even after treatment, with worse prognosis. Distant metastasis to pleural is rarely reported. Clinical approach for malignant pleural effusion by using medical thoracoscopy has 80% sensitivity with minimal complication. Pleural cryobiopsy is a novel technique used for obtaining sample from pleural biopsy with significant larger size of the specimen, less crush artefacts, fragmented and better tissue integrity, although the diagnostic yield and bleeding severity between cryobiopsy and conventional forceps biopsy are not significant.

Conclusion: Medical thoracoscopy with cryobiopsy should be considered as a preferrable diagnostic tool for obtaining better sample specimen, especially for pleural metastatic.

Keywords: Cryobiopsy; cutaneous squamous cell carcinoma; interventional pulmonology; malignant pleural effusion; medical thoracoscopy.

PubMed Disclaimer

Conflict of interest statement

The authors declare that they have no competing interests.Sponsorships or competing interests that may be relevant to content are disclosed at the end of this article.

Figures

Figure 1
Figure 1
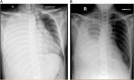
(A) Massive pleural effusion, shifting mediastinum to contralateral. (B) Reduced pleural effusion after inserting chest tube.
Figure 2
Figure 2
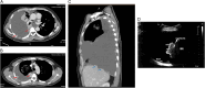
(A, B) Post-contrast thoracic MSCT axial view showed nodules on pleural parietal (red arrow). (C) Post-contrast thoracic MSCT sagittal view showed multiple nodules attached to diaphragm (blue arrow). (D) Right postero-lateral alveolar pleural space (PLAPS) Thoracic ultrasound showed mass attached to diaphragm.
Figure 3
Figure 3
(A) Biopsy of pleural mass using single use cryoprobe 1.7 mm. (B) Biopsy of Pleural Mass using forceps biopsy. (C) Histopathology sample of pleural biopsy obtained by single use cryoprobe 1.7 mm, with 400 times magnifier. (D) Histopathology sample of pleural biopsy obtained by forceps biopsy, with 400 times magnifier.

References

    1. Rogers HW, Weinstock MA, Coldiron BM, et al. . Incidence estimate of nonmelanoma skin cancer (keratinocyte carcinomas) in the US population 2012. JAMA Dermatol 2015;151:1081–1086. - PubMed
    1. Karia PS, Han J, Schmults CD. Cutaneous squamous cell carcinoma: estimated incidence of disease, nodal metastasis, and deaths from disease in the United States, 2012. J Am Acad Dermatol 2013;68:957–966. - PubMed
    1. Fania L, Didona D, Di Pietro FR, et al. . Cutaneous squamous cell carcinoma: from pathophysiology to novel therapeutic approaches. Biomedicines 2021;9:1–33. - PMC - PubMed
    1. Ahuja AV, Shah J, Goyal R. Comparative study of cryobiopsy and forceps biopsy on thoracoscopy in undiagnoses pleural effusions at a tertiary care centre in India. Eur Respir J 2018;52:PA902.
    1. Giri M, Dai H, Guo S, et al. . Efficacy and safety of pleural cryobiopsy vs forceps biopsy for evaluation of undiagnoses pleural effusion: a systematic review and meta-analysis. Front Med 2022;9:847146. - PMC - PubMed

Publication types