Multifocal Desmoid-Type Fibromatosis: Case Series and Potential Relationship to Neuronal Spread
- PMID: 38465095
- PMCID: PMC10921122
- DOI: 10.7759/cureus.53771
Multifocal Desmoid-Type Fibromatosis: Case Series and Potential Relationship to Neuronal Spread
Abstract
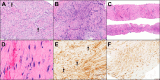
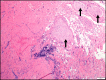
Multifocal desmoid-type fibromatosis (DTF) is very rare and usually regional. We report three cases that initially appeared to be multifocal, but subsequent detailed imaging revealed unsuspected tracking along nerves in two cases. This neural spread is reminiscent of neuromuscular choristoma (NMC), a rare developmental lesion in which mature skeletal muscle cells, or rarely smooth muscle cells, infiltrate and enlarge peripheral nerves. NMC is frequently associated with DTF. These two cases suggest that DTF spread along nerves and appeared as distinct multifocal lesions while actually being contiguous. The third case was felt to represent true multifocal tumor development, possibly due to tumor seeding at the time of chest surgery. The relationship of DTF to NMC is discussed.
Keywords: aggressive fibromatosis; beta-catenin; ctnnb1; desmoid tumor; msh6; neuromuscular choristoma; oncology; orthopedic oncology.
Copyright © 2024, Skubitz et al.
Conflict of interest statement
The authors have declared that no competing interests exist.
Figures







References
-
- The management of desmoid tumours: A joint global consensus-based guideline approach for adult and paediatric patients. Eur J Cancer. 2020;127:96–107. - PubMed
-
- Biology and treatment of aggressive fibromatosis or desmoid tumor. Skubitz KM. Mayo Clin Proc. 2017;92:947–964. - PubMed
-
- MacFarlane J. Clinical reports of the surgical practice of the Glasgow Royal Infirmary. Vol. 5. Glasgow, Scotland: Robertson; 1832. Clinical reports of the surgical practice of the Glasgow Royal Infirmary; pp. 332–338.
-
- A multifocal extra-abdominal desmoid tumour. Sanders R, Bennett M, Walton JN. Br J Plast Surg. 1983;36:337–341. - PubMed
Publication types
LinkOut - more resources
Full Text Sources
Miscellaneous