Epidemiological and histopathological aspects of ocular melanomas in Northeastern Romania
- PMID: 38527982
- PMCID: PMC11146456
- DOI: 10.47162/RJME.65.1.05
Epidemiological and histopathological aspects of ocular melanomas in Northeastern Romania
Abstract
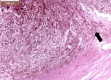
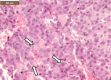
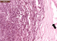
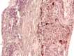
Ocular melanoma is a rare but complex disease in current medical practice. Our retrospective study spans over a period of 28 years and analyzed uveal and conjunctival melanomas that were consecutively admitted, diagnosed, and treated in the 2nd Ophthalmology Clinic of Prof. Dr. Nicolae Oblu Emergency Clinical Hospital, Iaşi, Romania. The patients were selected from the records of the Department of Pathology of our Hospital, being diagnosed by standard histopathological techniques. The aim of this study was to summarize the epidemiological and pathological aspects of uveal and conjunctival melanomas in Northeastern region of Romania. In our study, we did not notice a predilection of uveal and conjunctival melanoma to one particular gender. The most common histological subtypes of ocular melanomas were the heavily pigmented spindle cell subtype, followed by the epithelioid subtype. Our patients sought medical help in a timely manner, before the systemic invasion of the disease could develop.
Conflict of interest statement
The authors declare that they have no conflict of interests.
Figures
References
-
- Brouwer NJ, Verdijk RM, Heegaard S, Marinkovic M, Esmaeli B, Jager MJ. Conjunctival melanoma: new insights in tumour genetics and immunology, leading to new therapeutic options. Prog Retin Eye Res. 2022;86:100971–100971. - PubMed
-
- Patel DR, Patel BC. Ocular melanoma. StatPearls [Internet] 2024 Jan - PubMed
MeSH terms
LinkOut - more resources
Full Text Sources
Medical
