Eosinophilic Granulomatosis With Polyangiitis Presenting With Purpura, Mononeuritis Multiplex, and Cerebral Infarction
- PMID: 38533325
- PMCID: PMC10964726
- DOI: 10.7759/cureus.56949
Eosinophilic Granulomatosis With Polyangiitis Presenting With Purpura, Mononeuritis Multiplex, and Cerebral Infarction
Abstract
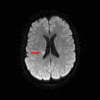
We present a case of a 52-year-old woman who had transient speech impediment and progressive numbness, weakness, and a purpuric rash affecting her limbs, with severe joint pains. Because she had a chest infection two weeks prior, her clinical presentation gave rise to a suspicion of post-infective vasculitis or post-infective polyneuritis. Further investigation proved this to be eosinophilic granulomatosis with polyangiitis (EGPA) presenting with purpura, mononeuritis multiplex, and cerebral infarction. Treatment with glucocorticoids and cyclophosphamide led to rapid remission. This case highlights the potential difficulty in diagnosing EGPA because of its multiple clinical manifestations and emphasizes the importance of a thorough review of the past medical history.
Keywords: anca associated vasculitis; cerebral infarction; eosinophilic granulomatosis with polyangiitis (egpa); mononeuritis multiplex; purpura.
Copyright © 2024, Bagavandoss et al.
Conflict of interest statement
The authors have declared that no competing interests exist.
Figures


References
-
- Evidence-based guideline for the diagnosis and management of eosinophilic granulomatosis with polyangiitis. Emmi G, Bettiol A, Gelain E, et al. Nat Rev Rheumatol. 2023;19:378–393. - PubMed
-
- Update on eosinophilic granulomatosis with polyangiitis. Furuta S, Iwamoto T, Nakajima H. Allergol Int. 2019;68:430–436. - PubMed
-
- Eosinophilic granulomatosis with polyangiitis: Understanding the disease and its management. Trivioli G, Terrier B, Vaglio A. Rheumatology (Oxford) 2020;59:84–94. - PubMed
-
- 2022 American College of Rheumatology/European Alliance of associations for rheumatology classification criteria for eosinophilic granulomatosis with polyangiitis. Grayson PC, Ponte C, Suppiah R, et al. Ann Rheum Dis. 2022;81:309–314. - PubMed
Publication types
LinkOut - more resources
Full Text Sources
Miscellaneous