Claudin-4 Upregulation in Acantholytic and Autoimmune-Mediated Bullous Disorders
- PMID: 38534263
- PMCID: PMC10969394
- DOI: 10.3390/dermatopathology11010001
Claudin-4 Upregulation in Acantholytic and Autoimmune-Mediated Bullous Disorders
Abstract
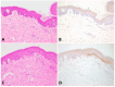
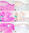
Claudin-4 is a key component of tight junctions, which play an important role in the formation of the epidermal barrier by forming a circumferential network in the granular layer that serves as a gatekeeper of the paracellular pathway. The aim of this study is to illustrate claudin-4 immunohistochemical staining patterns of different blistering disorders. We collected 35 cases, including two Hailey-Hailey disease, one Darier disease, three Grover disease, one acantholytic acanthoma, two warty dyskeratoma, 11 pemphigus vulgaris (PV) including six mucosal PV, and two pemphigus foliaceus. For comparison, we included five cases of normal skin, five eczema, and three bullous pemphigoid cases. Claudin-4 demonstrated weak-to-moderate expression in keratinocytes located in the stratum granulosum, keratinocytes surrounding hair follicles, and adnexal glands. Further, claudin-4 exhibited moderate-to-strong membranous staining in disrupted keratinocytes surrounding and within the acantholytic and bullous areas in 16/22 of the acantholytic cases (not seen in the six cases of mucosal PV) and all three bullous pemphigoids. This finding suggests that claudin-4 is upregulated in these conditions, which may be a compensatory response to the disrupted barrier function. This finding could shed light on the molecular mechanisms underlying disrupted barrier function in blistering disorders, independent of the specific underlying disease mechanism.
Keywords: acantholytic disorders; autoimmune-mediated bullous disorders; claudin-4.
Conflict of interest statement
The authors declare no conflict of interest.
Figures


References
LinkOut - more resources
Full Text Sources
Molecular Biology Databases