Tumor-like Lesions in Primary Angiitis of the Central Nervous System: The Role of Magnetic Resonance Imaging in Differential Diagnosis
- PMID: 38535038
- PMCID: PMC10969781
- DOI: 10.3390/diagnostics14060618
Tumor-like Lesions in Primary Angiitis of the Central Nervous System: The Role of Magnetic Resonance Imaging in Differential Diagnosis
Abstract
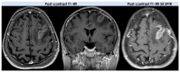
Primary Angiitis of the Central Nervous System (PACNS) is a rare disease and its diagnosis is a challenge for several reasons, including the lack of specificity of the main findings highlighted in the current diagnostic criteria. Among the neuroimaging pattern of PACNS, a tumefactive form (t-PACNS) is a rare subtype and its differential diagnosis mainly relies on neuroimaging. Tumor-like mass lesions in the brain are a heterogeneous category including tumors (in particular, primary brain tumors such as glial tumors and lymphoma), inflammatory (e.g., t-PACNS, tumefactive demyelinating lesions, and neurosarcoidosis), and infectious diseases (e.g., neurotoxoplasmosis). In this review, the main features of t-PACNS are addressed and the main differential diagnoses from a neuroimaging perspective (mainly Magnetic Resonance Imaging-MRI-techniques) are described, including conventional and advanced MRI.
Keywords: HGG; MRI; PACNS; PCNSL; TDL; glioma; mass-like lesion; neurotoxoplasmosis; sarcoidosis; tumefactive lesion; tumor-like lesion.
Conflict of interest statement
The authors declare no conflicts of interest.
Figures
References
-
- Thaler C., Kaufmann-Bühler A.K., Gansukh T., Gansukh A., Schuster S., Bachmann H., Thomalla G., Magnus T., Matschke J., Fiehler J., et al. Neuroradiologic Characteristics of Primary Angiitis of the Central Nervous System According to the Affected Vessel Size. Clin. Neuroradiol. 2019;29:37–44. doi: 10.1007/s00062-017-0622-8. - DOI - PubMed
-
- Pascarella R., Antonenko K., Boulouis G., De Boysson H., Giannini C., Heldner M.R., Kargiotis O., Nguyen T.N., Rice C.M., Salvarani C., et al. European Stroke Organisation (ESO) guidelines on Primary Angiitis of the Central Nervous System (PACNS) Eur. Stroke J. 2023;8:842–879. doi: 10.1177/23969873231190431. - DOI - PMC - PubMed
Publication types
LinkOut - more resources
Full Text Sources
