Cemento-Ossifying Fibroma of the Mandible: A Case Report
- PMID: 38550404
- PMCID: PMC10977611
- DOI: 10.7759/cureus.55063
Cemento-Ossifying Fibroma of the Mandible: A Case Report
Abstract
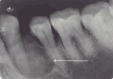
Benign osseous tumors of mesodermal origin that are included within the group of fibro-osseous lesions include cemento-ossifying fibromas (COFs). The fibrocellular component of these diseases originates from the periodontal ligament, which deposits bone and cementum encased in fibrous tissue. It typically appears in the mandible and presents as a solitary, nonaggressive, slowly developing, asymptomatic, expansile lesion, rarely occurring in the maxilla. The only intervention that proved to be successful in producing excellent outcomes and that may be regarded as a final therapeutic option is the complete surgical removal of COFs. Presenting herein is a case report describing a painless and expansile mass in the left mandibular region, histopathologically diagnosed as COF.
Keywords: cemento-ossifying fibroma; cementum; excision; expansile lesion; psammoma bodies.
Copyright © 2024, Salema et al.
Conflict of interest statement
The authors have declared that no competing interests exist.
Figures






References
-
- Cemento-ossifying fibroma of the maxilla. Al-Shaham AA, Samher AA. J Plast Surg Hand Surg. 2010;44:318–321. - PubMed
-
- Cemento-ossifying fibroma of the jaw. Katti G, Khan MM, Chaubey SS, Amena M. http://dx.doi.org/10.1136/bcr-2015-214327 BMJ Case Rep. 2016;2016 - PMC - PubMed
Publication types
LinkOut - more resources
Full Text Sources