Skip to main page content
U.S. flag

An official website of the United States government

Dot gov

The .gov means it’s official.
Federal government websites often end in .gov or .mil. Before sharing sensitive information, make sure you’re on a federal government site.

Https

The site is secure.
The https:// ensures that you are connecting to the official website and that any information you provide is encrypted and transmitted securely.

Access keys NCBI Homepage MyNCBI Homepage Main Content Main Navigation
Case Reports
. 2024 Feb 28;16(2):e55165.
doi: 10.7759/cureus.55165. eCollection 2024 Feb.

Primary Serous Cystadenocarcinoma of the Spleen

Affiliations
Case Reports

Primary Serous Cystadenocarcinoma of the Spleen

Peter Sciberras et al. Cureus. .

Abstract

Tumours of the spleen are uncommon, and most are metastases from primaries in other organs. Primary splenic malignancies are subdivided into two main groups: lymphoid and non-lymphoid. Primary splenic cystadenocarcinomas are extremely rare, and only reports of the mucinous variant exist. We present the case of a female in her eighth decade of life who was found to have an incidental complex splenic mass with a cystic component, which showed an interval increase in size on serial imaging. After further investigation, including positron emission tomography (PET), endoscopic ultrasound (EUS), and laparoscopy, she successfully underwent distal pancreatectomy, splenectomy, and partial gastrectomy for a suspected locally invasive pancreatic malignancy. Histology and immunohistochemical analyses were consistent with the first recorded case of primary serous cystadenocarcinoma of the spleen in the literature.

Keywords: cancer; hepatopancreatobiliary; serous cystadenocarcinoma; spleen; surgery.

PubMed Disclaimer

Conflict of interest statement

The authors have declared that no competing interests exist.

Figures

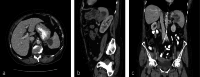
Figure 1
Figure 1. Axial (a), sagittal (b), and coronal (c) planes of CT showing a complex mass with a cystic component arising from the splenic hilum.
Figure 2
Figure 2. Cross-section of the resected specimen. The tumour appears confined to the spleen with both solid and cystic components and a relatively smooth interface with the splenic parenchyma.
Figure 3
Figure 3. Solid-cystic tumour with papillary architecture and focal hierarchical branching. Hematoxylin and eosin (H&E) staining, original magnification ×12.
Figure 4
Figure 4. The neoplastic cells stained negative for CDX2 (a) but positive for WT-1 (b), ER (c), and PAX-8 (d). Immunohistochemistry, original magnification ×50.

References

    1. Mucinous cystadenocarcinoma of the spleen - a very rare case of a primary splenic MCN. Wlaźlak M, Grząsiak O, Wierzchniewska-Ławska A, Hogendorf P, Durczyński A, Strzelczyk J. Pol Przegl Chir. 2020;93:1–5. - PubMed
    1. Pancreatic, hepatic, splenic, and mesenteric mucinous cystic neoplasms (MCN) are lumped together as extra ovarian MCN. Shiono S, Suda K, Nobukawa B, et al. Pathol Int. 2006;56:71–77. - PubMed
    1. Patterns of metastatic cancer in the spleen. MA JH Jr, GR S. Am J Clin Pathol. 1963;40:58–66. - PubMed
    1. Identification of biomarkers complementary to homologous recombination deficiency for improving the clinical outcome of ovarian serous cystadenocarcinoma. Shi Z, Zhao Q, Lv B, et al. Clin Transl Med. 2021;11:0. - PMC - PubMed
    1. Serous cystadenocarcinoma of the spleen. Chou CK, Chou SC. Radiol Case Rep. 2017;12:273–277. - PMC - PubMed

Publication types

LinkOut - more resources