Acute Suppurative Thyroiditis in Childhood: An Atypical Presentation
- PMID: 38562276
- PMCID: PMC10982137
- DOI: 10.7759/cureus.55275
Acute Suppurative Thyroiditis in Childhood: An Atypical Presentation
Abstract
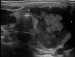
Neck stiffness is a common clinical sign in children presenting to the emergency department that may indicate a wide variety of diagnoses. Acute suppurative thyroiditis (AST) is an infection of the thyroid gland caused by a bacterium, virus, or, less commonly, fungus. It presents as an acute or subacute development of an anterior cervical mass, with associated inflammatory signs. The pressure upon neck muscles may be reflected as a limitation of cervical mobility. AST is often preceded by an upper respiratory tract infection, and pyriform sinus fistula is the most common predisposing factor. It is particularly uncommon in the pediatric age, with limited cases reported in the literature. Therefore, a heightened suspicion is required for proper diagnosis and timely intervention, due to its high mortality. Prompt treatment with broad-spectrum parenteral antibiotic therapy and drainage is mandatory to prevent the numerous complications associated, namely, mediastinitis and sepsis. We report the case of a two-year-old female child admitted with a two-week history of intermittent high-grade fever and sore throat, followed by prostration and limitation in neck movement on admission. Examination revealed neck stiffness with positive Kernig and Brudzinski signs. The laboratory tests showed elevated inflammatory parameters. Cranial computed tomography (CT) scan and lumbar puncture were normal. On day 2 after admission, an anterior cervical mass with slight signs of fluctuation was detected. Ultrasound was compatible with a hemorrhagic/overinfected thyroid nodule, and the patient was started on broad-spectrum antibiotics. Due to clinical worsening, a cervical CT scan was performed, which documented a thyroid abscess with extension into the retropharyngeal space. She underwent surgical drainage, and Streptococcus anginosus and mixed anaerobes were isolated, sensitive to ongoing antibiotherapy. On multidisciplinary follow-up, an esophageal barium study, laryngoscopy, and cervical magnetic resonance imaging (MRI) were performed, revealing no anatomical defects. AST is a rare disease in children, but potentially fatal, so its early recognition and treatment are essential. We aim to draw attention to this disease and its differential diagnosis to reduce the associated morbimortality.
Keywords: acute suppurative thyroiditis; endocrine emergency; pyriform sinus fistula; recurrent neck mass; thyroid abscess.
Copyright © 2024, Câmara et al.
Conflict of interest statement
The authors have declared that no competing interests exist.
Figures





References
-
- Approach to neck stiffness in children. [ Jun; 2023 ]. 2023. https://www.uptodate.com/contents/approach-to-neck-stiffness-in-children... https://www.uptodate.com/contents/approach-to-neck-stiffness-in-children...
-
- Suppurative thyroiditis in children and adolescents. [ Jun; 2023 ]. 2023. https://www.uptodate.com/contents/suppurative-thyroiditis-in-children-an... https://www.uptodate.com/contents/suppurative-thyroiditis-in-children-an...
-
- Acute suppurative thyroiditis with thyroid abscess: a case report and review of the literature. Ghaemi N, Sayedi J, Bagheri S. http://www.ncbi.nlm.nih.gov/pmc/articles/PMC3915071/ Iran J Otorhinolaryngol. 2014;26:51–55. - PMC - PubMed
-
- Piriform sinus tracts in children. Pereira KD, Davies JN. Arch Otolaryngol Head Neck Surg. 2006;132:1119–1121. - PubMed
Publication types
LinkOut - more resources
Full Text Sources