Metastatic clear cell sarcoma of the pancreas: A rare case report
- PMID: 38576799
- PMCID: PMC10989459
- DOI: 10.12998/wjcc.v12.i8.1448
Metastatic clear cell sarcoma of the pancreas: A rare case report
Abstract
Background: Clear cell sarcoma (CCS) is a rare soft-tissue sarcoma. The most common metastatic sites for CCS are the lungs, bones and brain. CCS is highly invasive and mainly metastasizes to the lung, followed by the bone and brain; however, pancreatic metastasis is relatively rare.
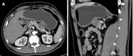
Case summary: We report on a rare case of CCS with pancreatic metastasis in a 47-year-old man. The patient had a relevant medical history 3 years ago, with abdominal pain as the main clinical manifestation. No abnormalities were observed on physical examination and the tumor was found on abdominal computed tomography. Based on the medical history and postoperative pathology, the patient was diagnosed with CCS with pancreatic metastasis. The patient was successfully treated with surgical interventions, including distal pancreatectomy and splenectomy.
Conclusion: This report summarizes the available treatment modalities for CCS and the importance of regular postoperative follow-up for patients with CCS.
Keywords: Case report; Clear cell sarcoma; Follow-up; Metastasis; Pancreas.
©The Author(s) 2024. Published by Baishideng Publishing Group Inc. All rights reserved.
Conflict of interest statement
Conflict-of-interest statement: All authors declare that they have no conflict of interest to disclose.
Figures



References
-
- Dim DC, Cooley LD, Miranda RN. Clear cell sarcoma of tendons and aponeuroses: a review. Arch Pathol Lab Med. 2007;131:152–156. - PubMed
-
- Enzinger FM. Clear-cell sarcoma of tendons and aponeuroses. An analysis of 21 cases. Cancer. 1965;18:1163–1174. - PubMed
-
- Kawai A, Hosono A, Nakayama R, Matsumine A, Matsumoto S, Ueda T, Tsuchiya H, Beppu Y, Morioka H, Yabe H Japanese Musculoskeletal Oncology Group. Clear cell sarcoma of tendons and aponeuroses: a study of 75 patients. Cancer. 2007;109:109–116. - PubMed
-
- Basile G, Mattei JC, Alshaygy I, Griffin AM, Catton CN, Chung PW, Shultz DB, Razak ARA, Demicco EG, Ferguson PC, Wunder JS. Curability of patients with lymph node metastases from extremity soft-tissue sarcoma. Cancer. 2020;126:5098–5108. - PubMed
Publication types
LinkOut - more resources
Full Text Sources