Diagnosis of Thyroid Neoplasm-Associated Dermatomyositis in Ethiopian Woman
- PMID: 38590443
- PMCID: PMC10999960
- DOI: 10.2147/IMCRJ.S448187
Diagnosis of Thyroid Neoplasm-Associated Dermatomyositis in Ethiopian Woman
Abstract
Background: Dermatomyositis is an inflammatory myopathies causing proximal muscle weakness accompanied by muscular inflammation and skin rash. Dermatomyositis patients have a higher incidence of malignancy as compared to the general population.
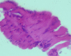
Case report: A 52-year-old known female patient with a toxic multi-nodular goiter presented with insidious onset of itchy erythematous rash on her neck and bilateral hands and progressive muscle weakness of 4 months' duration. Associated with this, she had photosensitivity, and periorbital edema of 2 months' duration. On physical examination, she had an anterior neck mass, proximal muscle weakness, periorbital edema, and violaceous skin rash on her bilateral arms, shoulders and neck. Thyroid function tests were normal, creatinine kinase was elevated, and muscle biopsy revealed inflammatory myositis. Ultrasound of the anterior neck mass and analysis of fine needle aspiration suggested thyroid cancer.
Conclusion: A high index of clinical suspicion is usually required for early diagnosis of dermatomyositis in resource-limited settings in order to prevent adverse outcomes and identify associated malignancies.
Keywords: Ethiopia; Gondar; dermatomyositis; para-neoplastic syndrome; thyroid neoplasm.
© 2024 Legese et al.
Conflict of interest statement
The authors declare no potential conflicts of interest in this work.
Figures



References
Publication types
LinkOut - more resources
Full Text Sources