Paratesticular cellular angiofibroma: a case report
- PMID: 38600580
- PMCID: PMC11007939
- DOI: 10.1186/s13256-024-04499-y
Paratesticular cellular angiofibroma: a case report
Abstract
Introduction: Paratesticular cellular angiofibroma is a rare benign mesenchymal tumor. The optimal management is surgical resection due to the difficulty of preoperative accurate diagnosis.
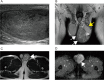
Case presentation: A 51-year-old Japanese male visited our hospital complaining of asymptomatic left scrotal swelling. Physical examination revealed a nontender elastic paratesticular mass (5.5 cm in diameter). Although testicular germ cell tumor was ruled out clinically, the possibility of malignant potential remained for the tumor. Since the patient consented to complete resection, a transinguinal radical orchiectomy was performed. The pathological diagnosis revealed cellular angiofibroma. The patient recovered without perioperative complications, and no apparent recurrence was observed at 5 years after surgery.
Conclusion: The pathological findings were compatible for cellular angiofibroma. The tumor was successfully resected, and no apparent recurrence was observed at 5 years after surgery.
Keywords: Cellular angiofibroma; Orchiectomy; Paratesticular region.
© 2024. The Author(s).
Conflict of interest statement
The authors declare that they have no competing interests.
Figures
References
-
- WHO Classification of Tumours Editorial Board; WHO classification of tumours, urinary and male genital tumours, 5th Edition. - PubMed
-
- Arakaki K, Chinen K, Kamiya M, Tanabe Y, Tawata N, Ikehara F, Uehara K, Shimabukuro H, Kinjo T. Evidence for an association between increased oxidative stress and derangement of FOXO1 signaling in tumorigenesis of a cellular angiofibroma with monoallelic 13q14: a case report. Int J Clin Exp Pathol. 2014;7:8972–8979. - PMC - PubMed
Publication types
MeSH terms
LinkOut - more resources
Full Text Sources
Medical
