Empyema Necessitans: A Case Report
- PMID: 38601432
- PMCID: PMC11002650
- DOI: 10.1016/j.idcr.2024.e01939
Empyema Necessitans: A Case Report
Abstract
Introduction: TB is a well-recognized cause of pulmonary infection. Empyema Necessitans is a rare complication of untreated empyema, mainly caused by mycobacterium tuberculosis. It mainly affects immunocompromised individuals.
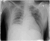
Case presentation: We present a case of 28 years old gentleman, Sudanese, with intermittent fever, non-productive cough, weight loss and night sweats. Chest X-ray then CT chest revealed a large right pleural collection invading the chest wall. Chest tube was inserted, fluid analysis was taken, and a bronchoscopy was done. A diagnosis of Empyema Necessitans was confirmed and patient was started on anti-TB regimen with clinical improvement.
Conclusion: Empyema Necessitans is a severe disease, complicating pulmonary tuberculosis. Diagnosis can be a challenge. Surgical and medical approaches are both crucial in the treatment of EN. This case highlights the importance of early recognition and diagnosis of this rare but aggressive condition particularly in TB endemic area.
Keywords: Case report; Empyema; Empyema Necessitans; Lebanon; Pulmonary; Tuberculosis.
© 2024 The Authors.
Conflict of interest statement
The authors declare that they have no known competing financial interests or personal relationships that could have appeared to influence the work reported in this paper.
Figures



References
Publication types
LinkOut - more resources
Full Text Sources
Research Materials